- [材料题]
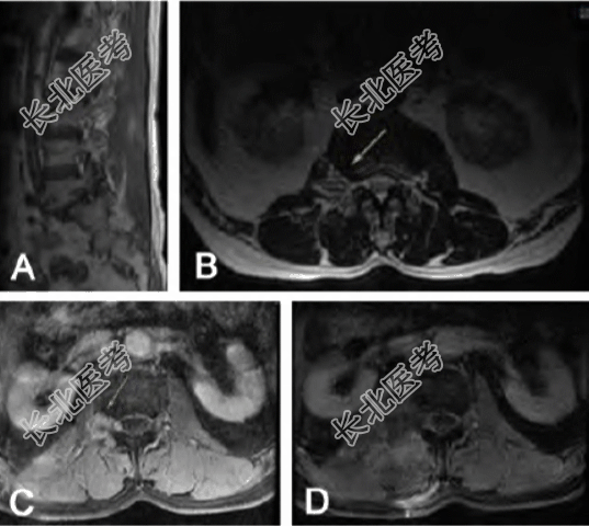
患者,男,67岁,因右下肢麻木半年余、右髂腰痛1个月余入院。既往无神经纤维瘤病、放疗、多发病灶、椎管外病灶等病史。入院体格检查:神志清楚,右髂腰部、下腰部压痛,腰部活动受限;右大腿前部麻木,感觉减退;右髂腰肌肌力3级,右股四头肌肌力3级,右胫前肌肌力3级,右腓肠肌肌力3级,右踇3级,右踇指跖屈肌肌力3级;病理征未引出。腰椎MRI平扫+增强示:腰2右侧椎旁见斑片样长T1、长T2信号,腰2椎管内见结节状信号影,经右侧椎间孔向椎旁延伸,明显不均匀强化,大小约1.9 cm×1.5 cm。术前诊断为右侧腰2椎管内外沟通型肿瘤(神经源性肿瘤可能)。全麻下行旁正中肌间隙入路椎管内外肿瘤切除术。术中见肿瘤呈实性,质地韧,边界清,无包膜,血供中等;显微镜下分块全切除肿瘤。术后病理示恶性周围神经鞘膜瘤(malignant peripheral nerve sheath tumor,MPNST),其中HE 染色显微镜下观察发现异型细胞呈卵圆形、短梭形,核分裂易见,瘤细胞呈巢状、束状分布,可见大片坏死,瘤组织呈浸润性生长;免疫组化结果显示CKpan(灶+)、CK20(-)、CK7(灶+)、villin(点灶+)、EMA(灶+)、Desmin(-)、SMA(-)、H-caldesmon(-)、Calponin(-)、STAT6(-)、S100(+)、SOX10(-)、Ki67(约60%+)、Bcl-2(-)。

- 简答题1、
该患者可能的诊断是什么疾病?
关注下方微信公众号,搜题查看答案

- 简答题2、
术前做影像学检查的意义有哪些?
关注下方微信公众号,搜题查看答案

- 简答题3、
该病临床表现有什么?
关注下方微信公众号,搜题查看答案

- 简答题4、
要注意与哪些疾病鉴别?鉴别点是什么?
关注下方微信公众号,搜题查看答案

- 简答题5、
该病的手术指征有哪些?有哪些禁忌症?
关注下方微信公众号,搜题查看答案

- 简答题6、
治疗后的效果标准有哪些?
关注下方微信公众号,搜题查看答案

- 1、患者初步诊断为? 2、确诊需进一步
- 1、初步诊断及诊断依据为? 2、患者有
- 1、为改善该患者临床症状,哪些类药物可以
- 1、初步诊断及诊断依据是什么? 2、该
- 1、初步诊断及诊断依据是什么? 2、需
- 1、患者的诊断及诊断依据为? 2、确诊
- 1、周围神经肿瘤的类型及特点? 2、应
- 1、患者诊断及诊断依据为? 2、确诊需
- 1、目前患者癫痫发作形式主要是什么?
- 1、患者初步诊断为? 2、确诊需进一步
- 1、患者诊断及诊断依据为? 2、确诊需
- 1、患者诊断为? 2、治疗措施为?
- 1、根据患者入院时的临床特征,GCS评分
- 1、初步诊断及诊断依据是什么? 2、治
- 1、初步诊断及诊断依据为? 2、该病的
- 1、患者诊断及诊断依据为? 2、确诊需
- 1、该患者肺癌脑转移的诊断依据是什么?
- 1、患者为脑膜瘤,诊断依据是什么? 2
- 1、目前考虑的诊断是什么? 2、什么是
- 1、该患者可能的诊断是什么疾病? 2、