试题详情
- [材料题]
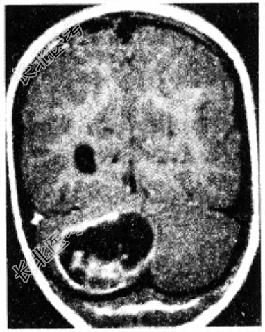
男性患者,39岁。头痛、步态不稳3个月。查体:神清,双侧视盘水肿,右侧轮替动作不能。周围血象红细胞增多,B超发现右肾有一囊性肿物,头颅CT发现右小脑半球囊性占位性病变(如图所示)。

- 简答题1、
其病变性质最可能是?
关注下方微信公众号,搜题查看答案

- 简答题2、
需要进一步检查的项目包括?
关注下方微信公众号,搜题查看答案

- 简答题3、
需要与哪些疾病相鉴别?
关注下方微信公众号,搜题查看答案

- 简答题4、
患者的治疗措施有哪些?
关注下方微信公众号,搜题查看答案

热门试题
- 1、室管膜瘤MRI影像特点为? 2、室
- 1、患者初步诊断为? 2、确诊需进一步
- 1、初步诊断及诊断依据是什么? 2、鉴
- 1、垂体腺瘤可分为哪些类型? 2、诊断
- 1、根据患者入院时的临床特征,GCS评分
- 1、简述先天性脑积水的特点和可能的原因?
- 1、患者诊断及诊断依据为? 2、确诊需
- 1、初步诊断及诊断依据是什么? 2、鉴
- 1、初步诊断及诊断依据是什么? 2、该
- 1、该患者的诊断为? 2、诊断依据为?
- 1、目前患者癫痫发作形式主要是什么?
- 1、舌咽神经痛的特点和可能的原因? 2
- 1、患者的可能的诊断及诊断依据为? 2
- 1、患者诊断及诊断依据为? 2、确诊需
- 1、周围神经肿瘤的类型及特点? 2、应
- 1、有哪些危险因素与颈动脉狭窄发病有关?
- 1、患者诊断及诊断依据为? 2、典型临
- 1、根据患者入院时的临床特征诊断为?
- 1、目前考虑的诊断是什么?诊断依据是什么
- 1、患者手术后的治疗原则应是? 2、胶