试题详情
- [材料题]
患者男,76岁。因恶心、呕吐半月余,加重伴精神萎靡2天收住院。患者半月前因感冒发热(体温最高38.0℃)引起恶心、呕吐,在门诊按“胃炎”治疗,给予泮托拉唑、甲氧氯普胺等药物(剂量不详),无好转。病程中易疲劳,体重渐减轻,时有体位性头晕。皮肤渐发黑,以面部及手掌处明显。2天前劳累后病情加重,精神萎靡,嗜睡,故以“恶心、呕吐原因待查”收入院。既往史患者40年前患有肺结核,治愈。余无特殊。入院查体:体温38.5℃,血压90/60mmHg,皮肤色泽略发暗,以掌纹及乳晕更明显。心肺未见异常,腹部无压痛及反跳痛,肝脾不大。辅助检查:血常规:WBC7.03×10⁹/L,ESR20mm/h,血糖4.6mmol/L,钾3.88mmol/L,钠126mmol/L,皮质醇80.8nmol/L(早8:00)(参考值171~536nmol/L),甲功全项及抗体正常。心电图:窦性心律,完全性右束支传导阻滞。胸片:右侧胸膜炎,胸膜增厚钙化。胃镜示:食管炎,慢性浅表-萎缩性胃炎,余(-)。
- 简答题1、
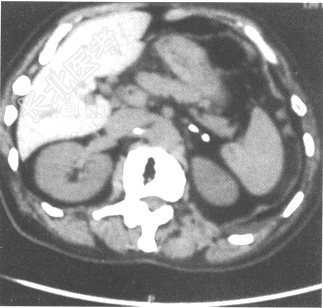
肾上腺CT:双侧肾上腺可见点状钙化,见下图。促肾上腺皮质激素238.06pg/ml(参考值7.2~63.3pg/ml)。最可能的诊断是什么

关注下方微信公众号,搜题查看答案

- 简答题2、
试述下一步治疗方案
关注下方微信公众号,搜题查看答案

热门试题
- 1、目前可进行的检查项目包括 2、甲状
- 1、下一步需做什么检查 2、检查结果显
- 1、该患者首先考虑的疾病是 2、该患者
- 1、为有助于患者诊断,下一步应进行的检查
- 1、为明确诊断需要做的检查是 2、甲状
- 1、哪些疾病可引起该患者类似表现 2、
- 1、患者下一步应进行的检查是 2、患者
- 1、为明确诊断,首先需要做的检查是 2
- 1、患者下一步应进行的检查是 2、男性
- 1、为明确低血糖原因,进一步应选什么检查
- 1、需要考虑的诊断有 2、 &nb
- 1、根据上述临床信息,为定性诊断该患者应
- 1、需要考虑的诊断 2、该病人首先需要
- 1、该患者的糖尿病分型诊断如何考虑 2
- 1、接下来应做的检查是 2、实验室检查
- 1、此患者的初步诊断有 2、此患者的门
- 1、需要考虑的初步诊断是 2、若患者有
- 1、该患者目前考虑的疾病有 2、患者入
- 1、垂体微腺瘤的最常见性质是 2、目前
- 1、为明确诊断应立即进行的检查项目包括