试题详情
- [材料题]
患者男性,32岁,因“反复发热伴咳嗽、咳痰1周”入院。入院前外院急诊血常规提示WBC 13.6×10
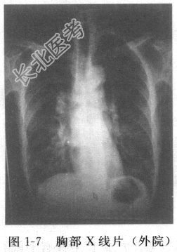
/L,N% 78%。胸部X线片(图1-7)示右下肺斑片状影。查体:双肺呼吸音粗,右下肺可闻及湿啰音。外院给予“头孢替安”等抗感染、退热等治疗后体温稍有下降,仍有反复咳嗽、咳痰。 
- 简答题1、
目前考虑的诊断是什么?诊断依据是什么?
关注下方微信公众号,搜题查看答案

- 简答题2、
鉴别诊断是什么?
关注下方微信公众号,搜题查看答案

- 简答题3、
应做哪些检查?各有什么临床意义?
关注下方微信公众号,搜题查看答案

- 简答题4、
入院后复查血常规提示WBC 13.1×10
/L,N% 86%.结核抗体(±),降钙素原0.976ng/ml↑,CRP 103.87mg/L↑,痰细菌培养未见致病菌。患者拒绝行支气管镜检查术。胸部CT(图1~8)提示右下肺斑片状影,可见支气管充气征。
治疗原则是什么?
关注下方微信公众号,搜题查看答案

- 简答题5、
具体的治疗方案是什么?
关注下方微信公众号,搜题查看答案

热门试题
- 1、该患者初步诊断为?诊断依据是什么?
- 1、该患者的诊断是什么? 2、诊断依据
- 1、该患者初步诊断为?诊断依据是什么?
- 1、该患者的诊断是什么? 2、该患者的
- 1、该患者初步诊断为? 2、 还需
- 1、该病人确切的诊断是什么? 2、肺炎
- 1、该患者初步诊断为? 2、还需要与哪
- 1、该患者初步诊断及诊断依据是什么?
- 1、该患者初步诊断为?诊断依据是什么?
- 1、请问急诊医师首先应尽快完善哪些辅助检
- 1、请问哪些是鉴别心源性哮喘与支气管哮喘
- 1、该患者的诊断是什么? 2、如何用药
- 1、该患者的诊断是什么? 2、诊断依据
- 1、该患者目前的诊断是什么? 2、需要
- 1、请问应首选何种辅助检查予以确诊?
- 1、该患者的诊断是什么? 2、诊断依据
- 1、最可能的诊断是? 2、为进一步明确
- 1、请问该患者的可能诊断有哪些? 2、
- 1、目前考虑的诊断是什么?诊断依据是什么
- 1、该患者初步诊断为 2、还需要与哪些