试题详情
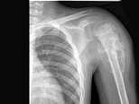
- 单项选择题男,28岁, 右上臂肿胀、疼痛,结合图像, 最可能的诊断是 ( )

A、骨肉瘤
B、成骨性骨转移瘤
C、化脓性骨髓炎
D、滑膜肉瘤
E、骨巨细胞瘤
关注下方微信公众号,搜题查看答案

热门试题
- 女,25岁, 腕部疼痛,结合图像, 最可
- 男,28岁, 右上肢疼痛,夜间加重, 服
- 以下不是骨关节创伤CT检查的目的的是A、
- 脊索瘤的好发部位是A、骶尾部B、蝶枕联合
- 男,6岁, 睡眠差、夜惊、多汗、出牙较迟
- 男,67岁, 脊髓痨患者,右下肢麻木,
- 下列有关尤文肉瘤的叙述中,错误的是
- 根据软骨所含纤维不同,软骨可分为 (
- 根据所提供图像,最可能的诊断是 (
- 溶骨性转移性骨肿瘤的CT表现,下列不正确
- 继发性ABC,其原发疾病包括A、巨细胞瘤
- 下列哪项不是维生素C缺乏病在干骺端的X线
- 骨基质发生的良性肿瘤为 ( )
- 患者女,23岁。两下肢感觉麻木, 结合图
- 青少年患者,踝部疼痛, 如图所示,最可能
- 强直性脊柱炎的病变首先侵犯的部位是A、脊
- 女,12岁, 右小腿肿胀,疼痛, 发热3
- 男,34岁, 体检摄片如图所示,最可能的
- 儿童化脓性骨髓炎不易进入关节腔的原因是
- 男,7岁,外伤后1个月,当时右上臂上部局