试题详情
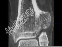
- 单项选择题青少年患者,踝部疼痛, 如图所示,最可能诊断为 ( )

A、软骨肉瘤
B、骨软骨瘤
C、转移瘤
D、骨肉瘤
E、以上都不是
关注下方微信公众号,搜题查看答案

热门试题
- 佝偻病恢复期长骨X线特征为A、骨质增生硬
- 早发先天性骨梅毒的X线表现中,哪项错误
- 女,年龄47岁, 膝关节疼痛6月余,曾服
- 根据所提供的图像,最可能的诊断 (
- “恶性骨肿瘤”发病顺序依次为 (
- 男,22岁, 发现左股骨远端侧方肿块十余
- 女,13岁, 右膝部痛,结合图像, 最可
- 下述骨肿瘤,哪项无多发倾向 (
- 腕部标准后前位片,当腕关节桡偏时 (
- 软组织血管瘤MRI诊断中,最具价值的征象
- 女,55岁, 跌倒后右手痛,结合X线平片
- 男,36岁, 髋关节疼痛、肿胀,活动受限
- 维生素D缺乏症的X线表现有 (
- 如图所示,可能性最小的诊断是 (
- 下述哪项不是“Madelung畸形”的诊
- 颈椎侧位片显示,齿状突和椎体间有横行透光
- 观察儿童骨龄最常用的摄片部位是A、膝关节
- 关节感染性病变的定性诊断应依据的方法为A
- 剥脱性骨软骨炎好发于 ( )A、
- 维生素A过多症的X线表现不包括 (