试题详情
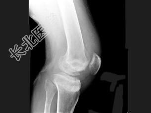
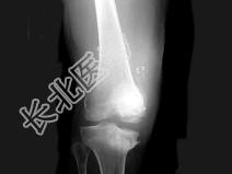
- 单项选择题男,67岁, 脊髓痨患者,右下肢麻木, 右膝关节肿胀,结合图像, 最可能的诊断是 ( )

A、创伤性关节炎
B、退行性骨关节病
C、神经性关节病
D、风湿性关节炎
E、痛风
关注下方微信公众号,搜题查看答案

热门试题
- 男,38岁, 右髋关节疼痛不适1年余,跛
- 男,41岁, 后枕部不适1个月余。根据C
- 下列哪种肿瘤转移至椎管内,表现为弥漫性浸
- 以下关于“脊柱硬膜外脓肿”特点中,哪项正
- 骨梗死的X线改变包括A、囊状及分叶状透光
- 男,13岁, 右髋部疼痛不适,无红肿,
- 如图所示,最可能的诊断是 (
- 下列有关尤文肉瘤的叙述中,错误的是
- 以下属于骨折断端对位不良的有A、横向移位
- 以下不是类风湿关节炎特点的是A、好发于2
- 下列关于“成骨肉瘤”诊断要点中,哪项是错
- 强直性脊柱炎MRI诊断,正确的为A、病变
- 有关原发性脊髓栓系综合征,错误的是(
- Ewing肉瘤不会出现的征象是A、病变呈
- 下列恶性骨肿瘤中呈多发性表现的是 (
- 对下列哪种骨折,CT诊断价值不及平片
- 男,56岁, 右髋部疼痛,结合图像, 最
- 与椎骨有关的是哪项A、棘突B、翼状突C、
- 青少年患者,臀疼, 最可能的诊断为
- 男,61岁,右膝部外伤3个小时,右膝肿痛