试题详情
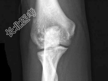
- 单项选择题男,34岁, 体检摄片如图所示,最可能的诊断是 ( )

A、氟骨症
B、转移性骨肿瘤
C、骨样骨瘤
D、骨岛
E、骨斑点症
关注下方微信公众号,搜题查看答案

热门试题
- “椎间盘Sharpey纤维”,MRI检查
- 男,6岁, 身材矮小,关节畸形, 血钙磷
- 骨内膨胀性病变无周围硬化性边缘,是下述哪
- 下列疾病可见奥尔布赖特(Albright
- 男,12岁, 右前臂外伤后入院。结合图像
- 下列哪项不是亲骨性转移的肿瘤 (
- 恶性骨肿瘤中不常有骨膜反应的是 (
- 不是骨质增生的病因的是 ( )A
- 男,15岁, 一星期前寒战,继而体温急剧
- 腰椎CT显示椎间盘超出椎体边缘,后缘凹陷
- 指骨化脓性骨髓炎的X线表现,不正确的是A
- 脊索瘤的好发部位是A、骶尾部B、蝶枕联合
- “骨片陷落征”是下列哪一种肿瘤或肿瘤样病
- 引起骨质破坏的病变有 ( )A
- 关于骨肉瘤的MRI检查描述,下列哪项不对
- 1、首先考虑为何种疾病2、下列哪几项支持
- “脊柱骨髓瘤”区别于“椎体血管瘤”的特点
- 下列哪种骨折对小儿的生长发育影响最明显A
- 椎体骨与椎间盘破坏并存时,最先考虑哪种疾
- 儿童患者,MRI诊断寰枢椎半脱位, 齿状