试题详情
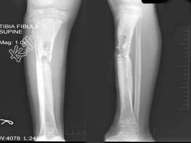
- 单项选择题女,12岁, 右小腿肿胀,疼痛, 发热3月余,摄片如图所示, 下列征象哪项是错误的 ( )

A、骨质呈溶骨性破坏
B、骨质增生硬化
C、骨膜呈层状增生不明显
D、可见软组织肿块
E、软组织肿胀
关注下方微信公众号,搜题查看答案

热门试题
- 关于骨梗死的MRI诊断,正确的描述是(
- 全身骨显像检查前的注意事项,错误的是A、
- 30岁,女, 因左前臂酸胀不适1年,活动
- Albright综合征临床表现不包括
- 髓内肿瘤中以哪种组织学类型最常见 (
- 提示恶性骨巨细胞瘤的临床、影像征象包括A
- 广泛性骨质疏松不常见于哪些情况 (
- 男,65岁, 腰背部疼痛1月余,结合图像
- 男,46岁, 无痛性腹部肿块10月余,进
- 发生率最高的“腕骨骨折”是 (
- 关于退行性骨关节病下列不正确的是A、常见
- 腰椎后缘软骨结节在侧位片上可表现为
- 以下关于“脊柱硬膜外脓肿”特点中,哪项正
- 骨质疏松的X线表现有( )。A、呈鱼
- Ewing肉瘤不会出现的征象是A、病变呈
- 女,9岁, 右髋部疼痛、跛行半年,无发热
- 男,24岁, 双手疼痛,结合图像, 最可
- 结核杆菌最多通过什么途径进入骨或关节部位
- 骨巨细胞瘤的典型CT征象包括A、多数肿瘤
- 男,29岁, 左膝关节有外伤史,膝关节疼