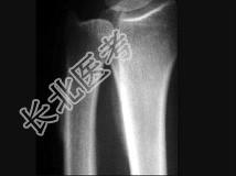
试题详情
- 单项选择题女,25岁, 腕部疼痛,结合图像, 最可能的诊断是 ( )

A、肥大性骨关节病
B、骨髓炎
C、骨肉瘤
D、嗜酸性肉芽肿
E、骨膜下出血
关注下方微信公众号,搜题查看答案

热门试题
- 常伴“脊髓空洞症”的疾病是 (
- 关于恶性骨肿瘤描述正确的有 (
- 患者,男,15岁。洗澡时无意中触及右大腿
- 前臂孟氏骨折是 ( )A、尺骨中
- 巨人症与肢端肥大症初期内分泌症状包括
- 易发生椎间盘突出的是 ( )A、
- 慢性铅中毒的主要临床表现为 (
- 铅线最易发生的部位是 ( )A、
- 关于骶骨脊索瘤CT表现的描述,错误的是
- 女,6岁, 外伤后左肘部肿痛,活动受限,
- 骨骺损伤的表述,错误的是A、干、骺愈合前
- 动脉瘤样骨囊肿CT表现,一般不会出现A、
- 下列哪种脊椎结核最易引起椎旁寒性脓肿
- 滑膜骨软骨瘤病最常见于 ( )A
- 下列有关色素沉着绒毛结节性滑膜炎的描述中
- 人体由多少块骨组成 ( )A、2
- 股骨头缺血坏死病程进入晚期,MR信号为
- 男,14岁, 左小腿近端疼痛半年余,间断
- 许莫结节是指椎间盘 ( )A、向
- 影响钙磷代谢的主要因素为A、甲状旁腺素B