试题详情
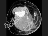
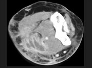
- 单项选择题男,26岁, 肘部红、肿、热、痛,疼痛呈搏动感, 结合图像,最可能的诊断是 ( )

A、脂肪瘤
B、脂肪肉瘤
C、软组织脓肿
D、血管瘤
E、淋巴管瘤
关注下方微信公众号,搜题查看答案

热门试题
- 男,59岁, 右侧髋骶部持续性疼痛,夜间
- 股骨头缺血坏死在T
- 1、以下哪些检查有助于明确诊断( )
- 以下哪些病变属于肿瘤样病变 (
- 1、病变发生部位在A、近节指骨骨端B、近
- 女性,35岁。摔伤后左髋部剧痛, 活动受
- 男,6岁, 身材矮小,关节畸形, 血钙磷
- 骨样骨瘤最佳检查方法是A、X线平片B、H
- 骨盆骨折常可合并邻近器官的外伤,常易损伤
- 骨肉瘤的主要X线征象包括A、骨质破坏B、
- T1WI中等信号,质子密度加权像中等信号
- 下述骨肿瘤,哪项无多发倾向 (
- “腕骨二次骨化中心”出现的正常顺序是
- 男,38岁, 上臂肿块1年,结合图像,
- 维生素D缺乏病恢复期长骨X线改变的表现是
- 骨巨细胞瘤的典型征象是A、偏心性膨胀性骨
- 男,19岁, 右足底部结节十余年,结合图
- 1、患者MRI图片有哪些阳性征象(
- 1、根据以上临床资料及影像学检查,初步诊
- CT对多发性骨髓瘤检查的首要目的是检出