试题详情
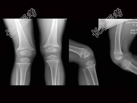
单项选择题男,6岁, 身材矮小,关节畸形, 血钙磷化验异常,如图, 最可能的诊断为 ( )

A、坏血病

B、肾性佝偻病

C、粘多糖病

D、克汀病

E、脂质沉积病

  • 关注下方微信公众号,搜题查看答案

热门试题