试题详情
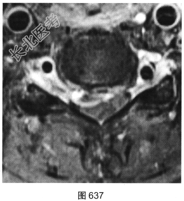
- [材料题] 患者女性,49岁,颈部胀痛伴双手麻木3天。MRI检查见图632~图637。





- 多项选择题1.患者MRI图片有哪些阳性征象( )
A、同水平硬膜囊及脊髓明显受压
B、病变与硬膜夹角为钝角
C、病变呈环形强化,中心未见明显强化
D、病变在髓外硬膜下
E、病变跨越右侧椎间孔,呈哑铃状改变
F、C
水平硬膜外梭形软组织信号
关注下方微信公众号,搜题查看答案

- 多项选择题2.根据MRI表现,患者可能的诊断是( )
A、脊柱淋巴瘤
B、椎间盘脱出、髓核游离
C、神经纤维瘤
D、后纵韧带骨化
E、神经鞘瘤
F、硬膜外血肿
关注下方微信公众号,搜题查看答案

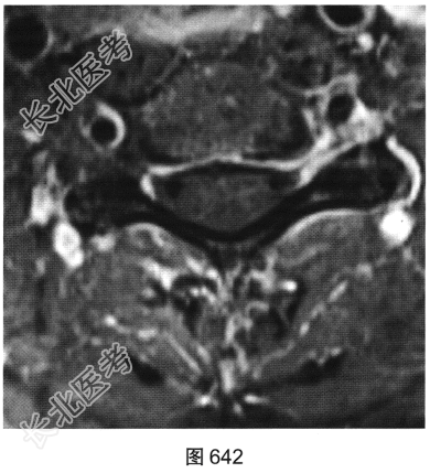
- 多项选择题3.[提示]患者保守治疗2个月后复查MRI,见图638~图642。复查的MRI图像与前次比较, 有哪些影像学变化( )




A、病变明显变小
B、颈前软组织强化
C、增强后未见强化
D、增强后可见小片状强化
E、C
间盘信号有变化F、硬膜囊及颈髓受压缓解
关注下方微信公众号,搜题查看答案

- 多项选择题4.根据复查的MRI表现,该患者可能的诊断是( )




A、椎间盘脱出、髓核游离
B、硬膜外血肿
C、神经纤维瘤
D、后纵韧带骨化
E、神经鞘瘤
F、脊柱淋巴瘤
关注下方微信公众号,搜题查看答案

热门试题
- 女,21岁, 右膝肿痛1个月,局部皮温增
- 骨软骨瘤的恶变征象包括A、成人骨软骨瘤的
- 严重烧伤引起的骨损伤最主要的X线表现是
- 四肢长管状骨摄片时至少应包括 (
- 先天性骨骼异常和后天性病理性骨病的鉴别要
- 骨纤维异常增殖症发生恶变,最常见恶变为下
- 椎管呈三叶草样改变见于( )。A、钩
- 以下不是非骨化性纤维瘤特点的是A、由骨髓
- “骨关节结核”发生部位最少见的是 (
- 下列不属于股骨头缺血坏死典型X线表现的是
- 马德隆(Madelung)畸形的X线表现
- 下列属于厌骨性肿瘤的是A、肺癌B、皮肤癌
- 女,30岁, 右膝关节酸胀,疼痛不适5个
- 下列哪项不是骨肿瘤的X线表现A、溶骨性破
- 下列恶性骨肿瘤中呈多发性表现的是 (
- 男,2岁, 左侧颜面部、右肩部肿块,疼痛
- 骨性骨痂形成后还需进一步改建,在儿童此过
- 骨软骨瘤影像表现错误的是A、X线上可以观
- 下述有关骨软骨缺血坏死的命名组合中,哪项
- 女,17岁, 右膝关节有外伤史,现膝关节