试题详情
- [材料题] 患者为青年男性,于就诊的3个月前出现无明显诱因的腰痛伴右大腿下段肿物,未予特殊处理;2周前上述症状复发伴疼痛加重,出现双下肢活动障碍,口服药物治疗后症状无明显改善。患者发病以来精神一般,睡眠差,大小便正常,体重减轻5kg左右,否认外伤史。查体:双下肢皮肤感觉消失,双下肢肌力0级,双下膝反射、踝反射减弱,足背动脉搏动可,病理反射未引出。
- 多项选择题1.以下哪些检查有助于明确诊断( )
A、CT
B、PET-CT
C、X线
D、MRI
E、穿刺活检
F、SPECT
关注下方微信公众号,搜题查看答案

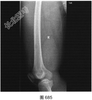
- 多项选择题2.[提示]患者X线检查见图684、图685。从以上X线平片中可以发现哪些异常表现( )


A、右股骨骨髓腔内未见明显异常密度影
B、右侧股骨形态可,可见骨质破坏
C、右大腿后方肌群软组织肿块边界清楚,密度均匀,未侵犯邻近骨质结构
D、右大腿后方肌群广泛水肿
E、右大腿后方肌群软组织肿胀,可见肿块影
F、右大腿软组织内密度不均匀增高
关注下方微信公众号,搜题查看答案

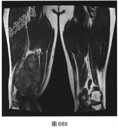
- 多项选择题3.[提示]为进一步明确诊断,患者进一步行CT及MRI检查, 如图686~图691所示。患者CT及MRI的阳性影像表现有( )




A、T2压脂序列上肿块内可见条状高信号
B、右大腿后方肌群内见肿块影
C、T1WI及T2WI均表现为实性肿块,均以等信号为主
D、T2压脂序列呈高信号,周围见明显水肿信号
E、肿块边界较清,密度较均匀
F、肿块周围肌间隙清晰,邻近组织呈受压改变
G、T2WI上可见斑片状稍高信号及低信号分隔
关注下方微信公众号,搜题查看答案

- 多项选择题4.结合患者病史及影像表现,应考虑为下列哪种疾病( )
A、横纹肌肉瘤
B、平滑肌瘤
C、PNET
D、恶性纤维组织细胞瘤
E、纤维肉瘤
F、纤维瘤
关注下方微信公众号,搜题查看答案

热门试题
- 女,24岁, 反复发作的骨骼肌肉痛,结合
- 下列X线诊断术语,正确的表述有哪几项A、
- 下列“骨母细胞瘤”影像特点中,哪项错误A
- 维生素D缺乏症的X线表现有 (
- 急性化脓性骨髓炎临床表现是 (
- 骨关节结核最好发于A、脊椎B、骶髂关节C
- 软骨瘤的主要成分是 ( )A、透
- 下列"脊柱结核"MRI征象,哪项不对A、
- 女,30岁, 踝关节肿痛半年,且近外踝部
- 下列哪项是“Pole病”的骨改变特点
- 椎体巨细胞瘤的好发部位是A、颈椎B、胸椎
- 依发生部位,股骨近端骨折分型不包括
- 维生素D缺乏病骨质软化引起的变形有
- 肱骨外上髁骨骺出现的年龄为 (
- 右肩关节活动受限1年多,体检发现右手上抬
- 下列有关儿童短骨骨干结核表现是A、早期即
- 关于退行性骨关节病下列不正确的是A、常见
- 尤因肉瘤影像学特点包括( )A、虫蚀
- 女,1岁, 身体发育异常,如图所示, 最
- 下列疾病可见奥尔布赖特(Albright