试题详情
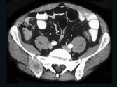
- 单项选择题男,59岁, 右侧髋骶部持续性疼痛,夜间加重, 2月前被确诊为肾细胞癌,结合图像, 最可能的诊断是 ( )

A、骨肉瘤
B、骨巨细胞瘤
C、骨囊肿
D、骨转移瘤
E、骨瘤
关注下方微信公众号,搜题查看答案

热门试题
- 骨纤维异常增殖症四肢躯干骨病变的X线表现
- 影响钙磷代谢的主要因素为A、甲状旁腺素B
- 1、初步考虑哪些疾病2、进一步诊断可选用
- 关于尤因(Ewing)肉瘤的描述,不正确
- 男,15岁, 右肩疼痛1月余,结合图像,
- 骨肉瘤的主要X线征象包括A、骨质破坏B、
- 男,18岁,CT扫描发现脊柱旁软组织肿块
- 1、为了明确诊断,需要做以下哪些检查(
- “Albright综合征”临床特征为
- 儿童期长骨发育和X线解剖表述错误的是A、
- 正位胸片上 ( )A、女乳头投影
- 婴幼儿和儿童的骨髓炎的特点有 (
- 腰椎椎弓峡部骨折,X线摄片清晰显影于A、
- 哪项不是椎体缺血坏死的X线所见 (
- 下列哪种细胞见于戈谢病 ( )A
- 骨质破坏的病因包括 ( )A、
- 下述与椎体骺板缺血坏死为同一种疾病的有(
- 1、可能的诊断是2、根据以上情况,进一步
- 骨转移瘤最多见于 ( )A、骨
- 以下不是强直性脊柱炎影像特点的是(