试题详情
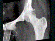
- 单项选择题女性,35岁。摔伤后左髋部剧痛, 活动受限6小时,结合影像学检查, 最可能的诊断是

A、股骨颈骨折
B、股骨头骨折
C、骨盆骨折
D、加莱阿奇骨折
E、肱骨骨折
关注下方微信公众号,搜题查看答案

热门试题
- 对骨肿瘤影像诊断的要求包括A、如属肿瘤,
- 对于诊断多发性骨髓瘤,下列CT表现中哪项
- 关于MRI检查关节半月板撕裂描述中,不正
- 软骨肉瘤的X线表现包括A、中心型软骨肉瘤
- 男,15岁, 畏寒,高热2周, 摄片如图
- 最容易损伤椎动脉的骨折部位是 (
- 男,28岁, 右肱骨上段肿痛1月,疼痛以
- 股骨颈骨折最严重和常见的并发症是(
- 下列哪种体位会使椎管狭窄程度加重 (
- 女,30岁, 右膝关节酸胀,疼痛不适5月
- 关节破坏定义为( )。A、关节软骨及
- 骨巨细胞瘤的临床、病理及MR表现,错误的
- 男,13岁,右髋疼痛2年,右耻、坐骨部疼
- 关于代谢性骨疾病的主要X线表现错误的是
- 肾小管性骨病的X线表现为 (
- 女,年龄47岁, 膝关节疼痛6月余,曾服
- 1、以下哪些检查有助于明确诊断( )
- 关节结核的描述不包括( )。A、多继
- 男性,41岁。颈部持续性疼痛1个月余,
- 男,56岁, 骶部包块7月余,持续性隐痛