试题详情
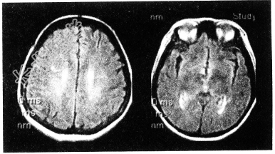
- [材料题] 女性,48岁。渐进性肢体无力半年。MRI所示如下图。

- 多项选择题1.根据MRI表现,可能的诊断是
A、多发脑缺血
B、多发性硬化
C、脑白质稀疏
D、脑萎缩
E、脑炎
F、脑白质病变
关注下方微信公众号,搜题查看答案

- 多项选择题2.为进一步确诊,下一步需要做的检查是
A、询问有无高血压、糖尿病病史
B、询问有无视力异常
C、MRI增强检查
D、脊柱MRI检查
E、询问有无其他中毒病史
F、腰椎穿刺脑脊液检查
关注下方微信公众号,搜题查看答案

- 多项选择题3.关于MRI的描述正确的是(提示患者行脊柱MRI平扫及增强检查,显示如下图)

A、颈髓增粗,其内可见片状高信号影
B、胸髓可见多发片状高信号影
C、脊髓未见异常
D、MRI增强检查可见片状强化
E、脊髓空洞
F、脊髓肿胀
关注下方微信公众号,搜题查看答案

- 多项选择题4.根据脊髓和头部MRI表现,病变应诊断为
A、多发脑缺血
B、多发性硬化
C、脑白质稀疏
D、脑萎缩
E、脑炎
F、脑白质病变
关注下方微信公众号,搜题查看答案

热门试题
- 显示非活动性脑猪囊尾蚴最佳的检查方法为A
- 关于三叉神经瘤,下列影像哪项不对A、可中
- 男,30岁,头颅CT示左小脑半球一3cm
- 关于多发性硬化的描述错误的是 (
- 哪一项不是髓母细胞瘤的CT表现A、造成梗
- 男,37岁, 视力模糊,部分视野缺失,
- 脑血管畸形包括A、动脉瘤B、静脉瘤C、海
- 男,2岁, 头痛、呕吐10余天,MRI检
- 如图箭头所示为颅脑哪个部位 (
- 9个月女婴,头颅迅速增大, 四肢肌力下降
- 颅咽管瘤的诊断要点,下列描述哪项错误
- 女,51岁, 视力下降伴左侧面部麻木1个
- 男,71岁, 腰背部疼痛1月余,MRI扫
- 患者男,24岁。头部被球击中,1周后出现
- 男,8岁, 左髋疼痛,跛行1月余, 结合
- 下列脑肿瘤中,哪种“囊变率最低” (
- 关于垂体脓肿影像学表现,错误的描述是(
- 男,2岁, 蹒跚步态易跌倒2个月余,MR
- 颅内良性肿瘤出现钙化常见于 (
- 前脑无裂畸形是由于在胚胎第几周前孕育形成