试题详情
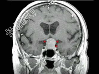
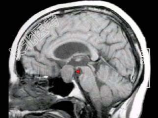
- 单项选择题男,37岁, 视力模糊,部分视野缺失, 伴有头痛、恶心数月,MRI检查如图, 最可能的诊断为 ( )

A、颅咽管瘤
B、脑膜瘤
C、蛛网膜囊肿
D、垂体瘤
E、表皮样囊肿
关注下方微信公众号,搜题查看答案

热门试题
- 男,59岁, 半月前与人打架后感头痛头昏
- 下列哪些可在X线平片上形成伪影 (
- 下列哪项不是脑部肿瘤的间接征象A、周围水
- 关于三叉神经瘤描述,下列哪项是错误的
- 发生在桥小脑角区肿瘤中无强化的是A、三叉
- 男,65岁, 右侧肢体力弱,CT示左额顶
- 男,19岁, 视力模糊1周,MRI检查如
- 下列哪项不符合皮样囊肿特征性临床或CT表
- 与鞍上池相邻的是A、前为额叶,侧为颞叶,
- 男,71岁, 腰背部疼痛1月余,MRI扫
- 肿瘤内常有钙化的神经胶质瘤是( )。
- 在星形细胞瘤与脑梗死鉴别中,下列最有意义
- 1、关于该病的MRI描述正确的是2、根据
- MRI检查脑血肿出现“靶征”是A、一周内
- 以下有关多发性硬化的病因叙述,不正确的是
- 急性硬膜下血肿指损伤后几天内 (
- "慢性颅内压增高"X线平片表现中,下列哪
- 男,13岁, 头痛1月余,近2天癫痫发作
- 病人右侧听力下降,CT示右侧桥小脑角池增
- 男,41岁, 左枕部疼痛,右侧肢体乏力,