试题详情
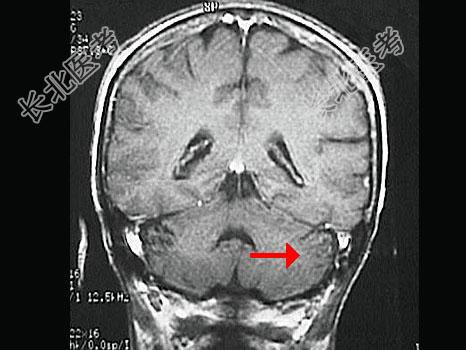
- 单项选择题如图箭头所示为颅脑哪个部位 ( )

A、顶叶
B、枕叶
C、小脑
D、脑干
E、额叶
关注下方微信公众号,搜题查看答案

热门试题
- 好发于桥小脑角区的肿瘤是( )。A、
- 一端与颅底分离的不稳定骨折又称为 (
- 女,42岁, 颈项部活动不利数月,上肢肌
- 男,26岁, 间歇性头痛,CT检查, 最
- 脑内占位病变的CT定位表现为 (
- 生殖细胞瘤与松果体瘤鉴别,最有利于生殖细
- 有关Ⅲ级星形细胞瘤的MRI表现,下列哪项
- 男,27岁, 头痛、双眼视力下降、多饮、
- 桥小脑角区听神经鞘瘤与脑膜瘤的鉴别诊断中
- 能产生脑脊液的是A、侧脑室B、第三脑室C
- 下列可能多发的脑原发肿瘤是 (
- 发生在桥小脑角区肿瘤中岩骨有明显骨质增生
- 多发性硬化的CT表现不包括A、脑室旁白质
- 关于基底节的描述正确的是 ( )
- 癫痫持续状态脑病的鉴别诊断不包括(
- 急性硬膜下血肿描述,下列哪项是错误的
- 男,49岁, 右侧肢体无力10余天,伴头
- 常引起视神经孔增大的病变是 (
- 下列哪种疾病,不出现局限性颅骨“竖发”表
- 下列哪类肿瘤一般不发生钙化 (