试题详情
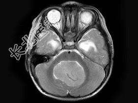
- 单项选择题男,2岁, 头痛、呕吐10余天,MRI检查如图所示, 最可能的诊断为 ( )

A、小脑蚓部髓母细胞瘤
B、星形细胞瘤
C、室管膜瘤
D、生殖细胞瘤
E、未见异常
关注下方微信公众号,搜题查看答案

热门试题
- 对垂体微腺瘤的诊断最佳技术是以下哪项A、
- 头颅平片可以显示A、前床突B、后床突C、
- 男,41岁, 左枕部疼痛,右侧肢体乏力,
- CT平扫图像上,与脑实质相比髓母细胞瘤多
- 女,52岁, 头晕2周,MRI检查如图,
- 女,13岁, 皮肤有多发结节和多发棕色素
- “脑包虫病”诊断要点,下述哪项错误
- 垂体瘤不易发生A、沿脑脊液种植B、出血、
- 关于鞍上池横断面解剖部位正确的是A、池内
- 蛛网膜下腔出血首选的检查方法应为A、MR
- 桥小脑角区听神经鞘瘤与脑膜瘤的鉴别诊断中
- 结核性脑膜炎的CT表现不包括A、脑沟及脑
- 女,37岁, 因车祸胫骨骨折十余天,突发
- 女,30岁, 闭经、视物模糊、头痛,近1
- 男性,10岁,有性早熟的临床表现,松果体
- 脑血管畸形包括A、动脉瘤B、静脉瘤C、海
- 男,52岁, 无明显不适,CT检查, 最
- 脑屏障是指A、血脑屏障B、血-脑脊液屏障
- 以下与颅脑MRI技术无关的是( )。
- 关于胶质瘤,下列描述正确的是A、脑胶质瘤