试题详情
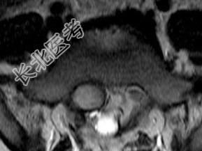
- 单项选择题男,8岁, 左髋疼痛,跛行1月余, 结合MRI检查,最可能的诊断是 ( )

A、骶部神经鞘瘤
B、室管膜瘤
C、神经纤维瘤
D、脊膜瘤
E、脊髓空洞症
关注下方微信公众号,搜题查看答案

热门试题
- 颅内高压的X线表现是A、颅缝分离B、颅板
- 对于眼及眼眶部位的疾病,CT扫描的适应证
- 关于高血压性脑病,叙述正确的有( )
- 有关脂肪瘤,描述正确的是A、80%位于幕
- 女性,43岁, 头痛、发热5天。CT平扫
- 有关神经系统的组合,错误的是A、中枢神经
- 1、依据患者病史主要考虑的癫痫类型为(
- 以下不属于硬膜外血肿特点的是( )。
- 关于脑水肿,不正确的是A、多发生在白质B
- 小脑扁桃体位置变异较大,可突入枕骨大孔,
- 颅咽管瘤的诊断要点,下列描述哪项错误
- 外伤性迟发性脑内出血多在伤后( )A
- 大脑中动脉破裂少量出血易出现的部位是
- 关于多发性硬化的MRI表现,下列说法错误
- 不发生脑膜瘤的部位是 ( )A、
- 女,39岁, 3年前因左额部胶质瘤手术治
- 梭形动脉瘤的首要形成原因是A、先天发育异
- 9个月女婴,头颅迅速增大, 四肢肌力下降
- 男,19岁, 视力模糊1周,MRI检查如
- 女,10岁, 头痛,视力下降2个月, M