试题详情
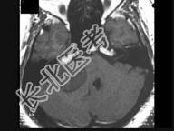
- 单项选择题男,44岁, 右耳听力进行性减弱,结合图像, 最可能的诊断为 ( )

A、听神经纤维瘤
B、三叉神经鞘瘤
C、前庭神经鞘瘤
D、胆脂瘤
E、脑膜瘤
关注下方微信公众号,搜题查看答案

热门试题
- 小儿脑积水头颅平片的表现是A、颅缝分离、
- 患儿,10岁。头晕来院, 影像学检查如下
- 新生儿缺氧性脑病,CT呈现的"双圈征"是
- 在CT征象上与血管网状细胞瘤表现最相似的
- 女,6岁, 头痛、呕吐1个月,行MRI检
- 女,75岁, 突发左侧肢体无力,嘴角歪斜
- 硬膜下血肿的CT征象为A、慢性期表现为颅
- 女,79岁, 步行时突然摔倒,结合图像,
- 下列弥散性脑损伤的MRI表现中,哪项描述
- 女,33岁, 3个月前有右上肢及右颜面部
- “脑包虫病”诊断要点,下述哪项错误
- 脑转移瘤好发于:A、大脑皮层B、小脑皮层
- 小脑的血供主要来自A、大脑中动脉B、大脑
- 女,36岁, 右眼视力下降6年多,左眼视
- 注射Gd-DTPA后,下列描述的肿瘤,
- 下列对肝豆状核变性的描述,哪项不对
- 关于颅骨中的孔与其通过组织的组合,哪项是
- 原发性脊髓栓系综合征表现为 (
- 下列“颅骨穹窿局限增厚”病因中,哪项错误
- 1、患者入院后应优先选择哪些常规检查(