试题详情
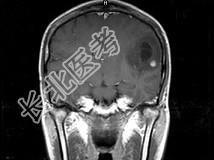
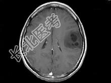
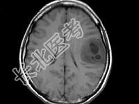
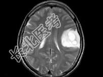
- 单项选择题女,33岁, 3个月前有右上肢及右颜面部麻木,伴耳鸣及头昏, 根据所提供图像,最可能的诊断是 ( )

A、脑脓肿
B、星形细胞瘤
C、脑结核
D、脑转移瘤
E、脑血吸虫病
关注下方微信公众号,搜题查看答案

热门试题
- 脑屏障是指A、血脑屏障B、血-脑脊液屏障
- 脑囊虫病的包囊分哪些层 ( )
- 脑脓肿CT表现第三期脓肿壁形成早期是
- CT示鞍上池囊实性占位病变,囊壁可见蛋壳
- 脑动静脉畸形栓塞治疗的适应证为A、病变广
- 胼胝体发育不良,表现为A、三脑室扩大、拉
- 以下有关渗透性髓鞘溶解症(ODMS)的诊
- 脑室系统不包括 ( )A、中脑导
- 最常见的原发性脑肿瘤是( )A、转移
- MRI上,有出血的脑转移癌常提示肿瘤来自
- 关于“颅内错构瘤”,下列描述错误的是
- 10岁以下儿童最常见的颅内恶性肿瘤是
- 下列哪项不符合Ⅰ级星形细胞瘤的CT表现A
- 男,49岁, 癫痫发作3次。CT示左额叶
- 海绵窦动静脉瘘的CT表现。不包括 (
- “脑膜瘤”下列CT征象,哪种最少见
- 弥漫性轴索损伤最常见的损伤部位是(
- 以下有关CO中毒性脑病的叙述,正确的是(
- 关于垂体瘤X线平片检查,下列叙述哪项正确
- 患者,男,30岁。癫痫3个月,喜食生肉,