试题详情
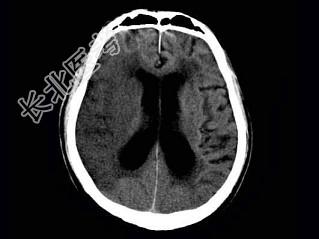
- 单项选择题女,75岁, 突发左侧肢体无力,嘴角歪斜, 言语表达不清,CT如图, 最可能的诊断是 ( )

A、右侧颞顶枕叶梗死
B、星形细胞瘤
C、脑脓肿
D、少枝胶质细胞瘤
E、脑囊肿
关注下方微信公众号,搜题查看答案

热门试题
- 可引起脑脊液鼻漏的骨折是 ( )
- 关于海绵状血管瘤的说法错误的是( )
- 脑白质、灰质同时受累者,多见于A、血管源
- 髓鞘形成不良病不包括 ( )A、
- 男,60岁,2个月前经CT诊断为右额顶急
- 急性硬膜下血肿是指A、24小时以内B、3
- 1、患者最可能诊断为2、该患者囊内CT呈
- 脑动静脉畸形血管内治疗可选用 (
- 患者男性,30岁, 车祸后昏迷入院。CT
- 滑车神经的功能和解剖特征为 (
- 男,8岁,头痛CT示松果体区有一结节状稍
- 女,32岁, 左侧头顶部肿痛1月,查体:
- 男,16岁,头痛5个月,CT示松果体区有
- 以下哪项不是结节性硬化的特征性CT表现
- 对垂体微腺瘤的诊断最佳技术是以下哪项A、
- 与CT、MRI相比,脑PET显像应用于脑
- 关于脑外肿瘤的MRI定位诊断,下列哪项不
- 垂体瘤的CT表现正确的是A、蝶鞍扩大B、
- 关于先天性脑穿通畸形,描述正确的是A、胎
- 侧脑室前角外侧是A、尾状核体部B、尾状核