试题详情
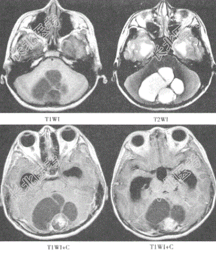
- 单项选择题患儿,10岁。头晕来院, 影像学检查如下图。该患儿最有可能的诊断是( )。

A、转移瘤
B、颅咽管瘤
C、髓母细胞瘤
D、血管网状细胞瘤
E、毛细胞型星形细胞瘤
关注下方微信公众号,搜题查看答案

热门试题
- 脑梗死分布的依据是( )。A、脑实质
- 男,3岁, 根据所示图像,最可能的诊断
- 关于Arnold-Chiari畸形,以下
- “单侧后颅窝扩大”可见于哪种疾病 (
- 如图箭头所示为大脑哪个部位 (
- 胶质母细胞瘤的鉴别诊断包括 (
- 患儿,男,12岁。CT示松果体区肿瘤,内
- 化脓性脑膜炎CT平扫早期表现是 (
- 女,29岁, 发作性头痛8月加重5周,1
- 男性脑转移瘤最多来自于哪种原发肿瘤
- 颈内动脉颅内段分为A、岩骨段B、海绵窦段
- 在下列哪种疾病中有"球内钙化"表现的是A
- 肝豆状核变性主要累及的部位是A、尾状核和
- 下列病变中,哪些可伴有“颅内动脉瘤”
- 关于Dandy-Walker综合征,下列
- 有关胚胎发育过程,正确的是A、胚胎15~
- 先天性颅脑闭合畸形,不包括 (
- 男,8岁, 出生9个月后常出现发作性癫痫
- 关于海绵状血管瘤和脑膜瘤的鉴别点,下列说
- 正常生理性基底节钙化主要分布在 (