试题详情
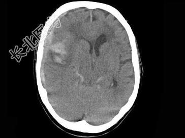
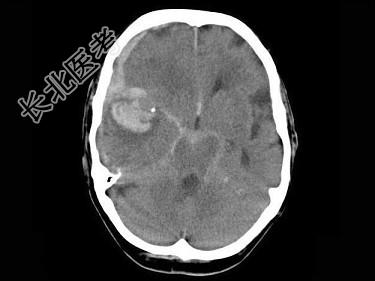
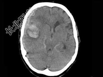
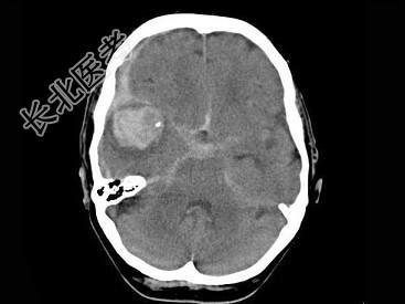
- 单项选择题女,79岁, 步行时突然摔倒,结合图像, 最可能的诊断是 ( )

A、右大脑中动脉破裂出血
B、脑转移瘤出血
C、脑膜炎
D、脑梗死
E、脑脓肿
关注下方微信公众号,搜题查看答案

热门试题
- Sturge-Weber综合征脑实质钙化
- 男,50岁, 低热,乏力, 腰痛2个月,
- 颅板厚薄不匀,较薄的部位是A、额顶部B、
- 男,42岁, 头痛、恶心半年余,逐步加重
- 下列关于烟雾病的描述,不正确的是(
- 1、复查CT平扫未见明显异常,最可能是因
- 下列哪项不是颅脑增强扫描的目的A、区分梗
- 婴幼儿,女, 比同龄孩子头大,结合图像,
- 1、该患儿最可能的诊断是( )A、脉
- 男,49岁, 1年前发现双颞侧视野缺损,
- 星形细胞瘤的影像学表现,不正确的是(
- 颅内动脉瘤最常见的临床表现为 (
- 男,8岁, 1周前出现头痛、呕吐,根据所
- 关于听神经瘤的描述,错误的是 (
- 囊尾蚴寄生人体的部位按顺序排列为以下哪项
- 头颅侧位片中,不能显示A、蝶鞍B、脑室C
- 注射Gd-DTPA后,下列描述的肿瘤,
- 平片上,蝶鞍增大和(或)破坏表现见于下述
- 1、患者入院后的常规检查应包括( )
- 垂体瘤的CT表现正确的是A、蝶鞍扩大B、