试题详情
- [材料题] 患者女性,42岁,反复肢体无力伴麻木11年;本次发作1个月余,无明显诱因出现右侧臀部及右大腿内侧坠胀感。7个月前出现右下肢足底麻木无力感,逐渐向上发展,同时左下肢也出现麻木无力感,行走困难呈进行性加重;6个月前左手从小指一无名指.中指,示指逐渐出现无力麻木感,伴右手活动不灵,伴小便不尽及便秘。查体:神志清楚,右侧T8~L1水平痛觉减退,左侧T10水平以下痛觉减退,右侧肢体肌力V级,左侧肢体肌力Ⅳ级,双侧病理征(一)。实验室检查:脑脊液免疫球蛋白G(IgG)38.80mg/L,脑脊液寡克隆区带电泳(阴性),肝肾功、心肌酶、CK、凝血、C-反应蛋白、红细胞沉降率正常。既往“慢性胃炎”病史2年。
- 多项选择题1.患者入院后应优先选择哪些常规检查( )
A、颅脑CT
B、颅脑MRA
C、颅脑CTA
D、颅脑MRI
E、脊柱MRI
F、脊柱X线平片
关注下方微信公众号,搜题查看答案

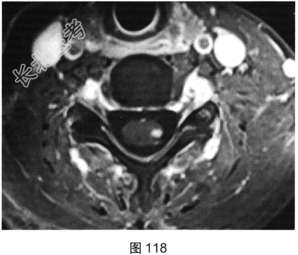
- 多项选择题2.[提示]患者行脊柱MRI检查,如图115~图120所示。患者MRI检查可见哪些阳性影像学表现( )




A、T2WI示颈髓和胸髓病灶呈高信号
B、增强扫描颈髓病灶多发斑片状强化
C、横断面增强扫描脊髓侧索病灶强化
D、T1WI示颈髓病灶呈高信号
E、T2WI示颈髓和胸髓病灶呈低信号
F、T1WI示颈髓病灶呈等信号
G、增强扫描颈髓和胸髓病灶无强化
H、脊髓形态未见异常
关注下方微信公众号,搜题查看答案

- 多项选择题3.根据患者病史及影像学检查,提示其可能的诊断是( )
A、急性播散性脑脊髓炎
B、多发性硬化急性期
C、髓内肿瘤
D、视神经脊髓炎
E、脊髓空洞症
F、多发性硬化静止期
关注下方微信公众号,搜题查看答案

- 多项选择题4.该病常累及的其他部位及其典型的影像学表现包括( )
A、侧脑室周围多发类圆形或融合性斑块,呈长T1长T2信号
B、胼胝体常受累
C、发生于大脑半球白质、小脑半球、脑干
D、发生于基底节区
E、侧脑室周围多发类圆形或融合性斑块,呈短T1长T2信号
F、病灶平行于侧脑室
G、病灶垂直于侧脑室
关注下方微信公众号,搜题查看答案

热门试题
- 在CT和MRI图像上提示脑外肿瘤的征象可
- 蛛网膜下腔出血的间接征象有 (
- 1、临床拟诊为2、关于多形性成胶质细胞瘤
- 在MRI图像上下列哪种肿瘤看不见化学位移
- 两个月女婴,口咽部有一肿块, 行CT检查
- 恶性星形细胞瘤的特点不包括 (
- 颅内静脉窦闭塞最常发生于 ( )
- 大脑半球纵裂前2/3至侧脑室外侧壁之间的
- 男,癫痫病史2年, 近两个月出现头痛、恶
- 以下癫痫持续状态脑病的临床表现,不正确的
- 尾状核头位于 ( )A、内囊前肢
- 关于垂体脓肿影像学表现,错误的描述是(
- 男,67岁, 头痛2周。CT示左额叶不均
- 男,29岁, 头痛不适半个月,MRI扫描
- 有关脑动静脉畸形CT表现的描述,下列哪项
- 星形细胞瘤分四级,属Ⅰ级星形细胞瘤的是A
- 以下关于颅脑MRI检查技术的叙述,正确的
- 脊膜瘤的有关病理特点中,下列哪项错误
- 1、可能的诊断是2、关于血管周围间隙,描
- 血管母细胞瘤可合并A、神经纤维瘤病1型B