试题详情
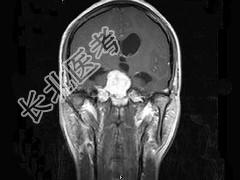
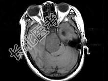
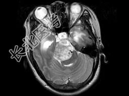
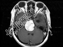
- 单项选择题女,32岁, 头痛、右侧肢体功能障碍约1年,声音嘶哑, 饮水呛咳,根据所提供图像, 最可能的诊断是 ( )

A、(斜坡)脑膜瘤
B、(斜坡)脊索瘤
C、(斜坡)神经鞘瘤
D、(斜坡)软骨瘤
E、(斜坡)海绵状血管瘤
关注下方微信公众号,搜题查看答案

热门试题
- 下列病变中,哪种罕有出血 ( )
- 下列哪项不符合Ⅱ级星形细胞瘤与胶质母细胞
- 缺氧所致的颅内出血以下列哪种较常见
- 患儿,女, 14岁。车祸致头颅外伤3天。
- 女,34岁, 头痛数年,头颅MRI平扫及
- 以下有关营养不良性脑病病理的叙述,不正确
- 男,25岁,CT示双侧听神经鞘瘤,应考虑
- 椎管内神经鞘瘤的X线表现包括A、脊髓造影
- 男,52岁, 无明显不适,CT检查, 最
- 交通性脑积水的CT和MRI典型表现有
- CT示颈前三角区囊性占位,可见钙化,囊壁
- 垂体大腺瘤的CT表现中,下列哪项是错误的
- 下列脑肿瘤,哪些易钙化 ( )
- 关于颅内表皮样囊肿的描述,错误的是A、好
- 结节性硬化患者在头颅X线平片或CT扫描发
- 眼球脉络膜黑色素瘤的检查首选为下列哪项
- 有关脑实质动静脉畸形的描述,正确的是A、
- 颅脑外伤临床表现重,CT表现轻,常提示(
- 女,58岁, 右侧肢体无力3个月。CT示
- 不属于NF-Ⅰ型神经纤维瘤CT表现的是