试题详情
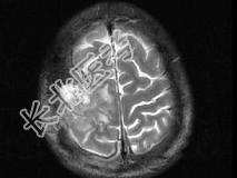
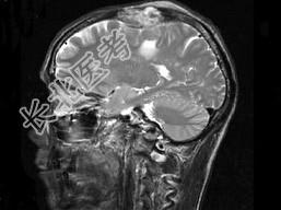
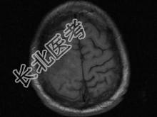
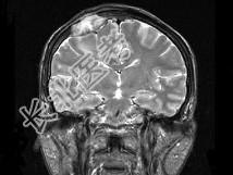
单项选择题男,63岁, 反复抽搐30余年加重伴左侧肢体活动不利活1月余,PE: 右顶部约4cm×5cm大小隆起包块质硬,不能活动, 右上下肢肌力Ⅴ,左上下肢肌力Ⅳ+, 根据所提供图像,最可能的诊断为 ( )

A、右顶骨(副脊索瘤)或称为肌上皮瘤

B、右顶骨转移瘤

C、右顶骨骨瘤

D、右顶骨血管瘤

E、右顶骨胆脂瘤

  • 关注下方微信公众号,搜题查看答案

热门试题