试题详情
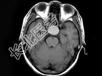
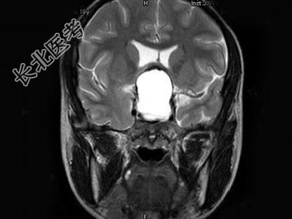
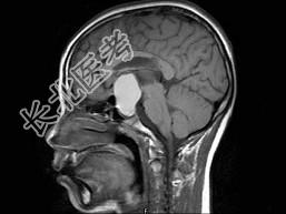
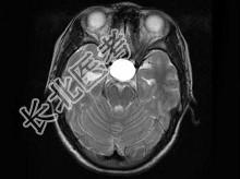
- 单项选择题男,19岁, 视力模糊1周,MRI检查如图所示应诊断为 ( )

A、颅咽管瘤
B、脑膜瘤
C、垂体瘤卒中
D、脑膜膨出
E、未见异常
关注下方微信公众号,搜题查看答案

热门试题
- 女,47岁, 左眼球突出伴视力下降半年,
- 少枝胶质细胞瘤的特征性CT表现是 (
- 关于脑结核的MRI表现,正确的描述是(
- 下列X线平片表现中,哪项与颅内肿瘤无关
- 女,50岁, 肢体感觉和运动障碍半年,M
- 男,28岁, 癫痫发作,左下肢酸痛20余
- 两个月女婴,口咽部有一肿块, 行CT检查
- 能产生脑脊液的是A、侧脑室B、第三脑室C
- 下述肿瘤中常出现散在钙化的是 (
- 与化脓性脑膜炎的临床表现不符合的是
- “结核性脑膜炎”CT征象,下列描述哪项错
- 下列哪项不是颅脑增强扫描的目的A、区分梗
- 关于胆脂瘤的特征性CT表现,下列哪项说法
- 下列各种图像哪个对显示后颅窝肿瘤最敏感
- 男,25岁,CT示双侧听神经鞘瘤,应考虑
- 下列关于基线描述错误的是 ( )
- 蛛网膜下腔出血首选的检查方法应为A、MR
- 1、CT检查提示左侧脑沟扩大,左侧额顶叶
- 有癫痫史,CT示脑内多发囊性病灶,无灶周
- 女,45岁, 右耳听力下降半年余,CT检