试题详情
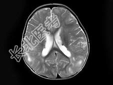
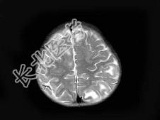
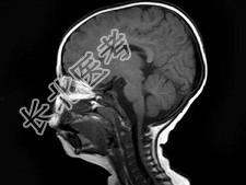
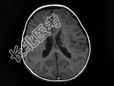
- 单项选择题男,1岁, 癫痫发作3次,智力反应低下, 头颅MRI扫描如图,最可能的诊断为 ( )

A、颅内结核瘤
B、病毒性脑炎
C、胶质瘤
D、结节性硬化
E、未见异常
关注下方微信公众号,搜题查看答案

热门试题
- 位于蝶骨大翼的外部,其内有三叉神经的第三
- 脑膜炎MRI的特点下列表现哪项正确
- 下列“少枝胶质细胞瘤”诊断要点,哪项不对
- 男,40岁, 主诉胸腹部、双下肢有麻木,
- 男,46岁, 头痛、呕吐1周,MRI如图
- 哪一项不是畸胎瘤的特征性CT表现A、瘤体
- 男,71岁, 腰背部疼痛1月余,MRI扫
- 男,15岁,CT检查见松果体区中度强化的
- 病人右侧听力下降,CT示右侧桥小脑角池增
- 女,30岁, 闭经、视物模糊、头痛,近1
- 结核性脑膜炎的临床表现包括下列哪些
- 观察颅底结构改变,下列哪种摄片位置最佳A
- 男,26岁, 突发性视力障碍3天,根据所
- 女,40岁, 头部外伤4小时,CT示侧脑
- 脑外肿瘤向内压迫脑皮质,使之受压变平的现
- 弥漫性轴索损伤的早期诊断标准不包括(
- 下列哪项不是脑部肿瘤的间接征象A、周围水
- 病人眩晕,CT示左侧桥脑小脑角池内低密度
- 脊髓主要血供来源于A、椎动脉B、颈内动脉
- 原发性脊髓栓系综合征表现为 (