试题详情
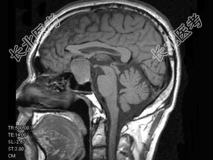
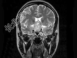
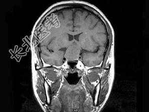
- 单项选择题男,49岁, 1年前发现双颞侧视野缺损,视物模糊, 查体:双颞侧偏盲, 根据所提供图像,最可能的诊断为 ( )

A、垂体微腺瘤
B、颅咽管瘤
C、脑膜瘤
D、嫌色细胞腺瘤
E、生殖细胞瘤
关注下方微信公众号,搜题查看答案

热门试题
- 男,8岁, 出生9个月后常出现发作性癫痫
- Wilson病CT征象包括下述哪些
- CT平扫图像上,与脑实质相比髓母细胞瘤多
- 在MRI图像上下列哪种肿瘤看不见化学位移
- 提示颅底骨折的CT征象是A、硬膜外血肿B
- 颅内静脉窦闭塞最常发生于 ( )
- 脑动静脉畸形血管内治疗可选用 (
- 女,32岁, 头痛、右侧肢体功能障碍约1
- 轴位图像上,以下哪项为幕下肿瘤征象A、小
- 交通性脊髓空洞发生在A、颅颈交界处B、颈
- Sturge-Weber综合征脑实质钙化
- 脑血管畸形包括A、动脉瘤B、静脉瘤C、海
- 关于胶质瘤,下列描述正确的是A、脑胶质瘤
- 胶质瘤术后放疗后复发与放射性坏死的鉴别技
- 神经纤维瘤病1型和2型都同时共有的是
- 能产生脑脊液的是A、侧脑室B、第三脑室C
- 两个月女婴,口咽部有一肿块, 行CT检查
- 脑外占位病变的CT定位表现为 (
- 关于脑脓肿的描述,错误的是 (
- 以下不属于硬膜外血肿特点的是( )。