试题详情
- [材料题] 患者女,49岁。由于“发作性幻视、头痛3年,发作性言语错乱1个月”就诊。3年前患者无明显诱因出现发作性幻视、头痛、眼眶痛;颅脑MRI示左枕叶病灶,给予激素等药物治疗病情好转,复查颅脑MRI病灶消失。1个月前患者出现发作性言语错乱,当地医院给予“泼尼松”、“丙种球蛋白”治疗,症状有所好转。既往有甲状腺功能减退病史。神经系统查体:无阳性体征。甲状腺功能正常。
- 简答题1、为明确诊断此患者需要进行的检查项目包括应有
关注下方微信公众号,搜题查看答案

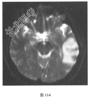
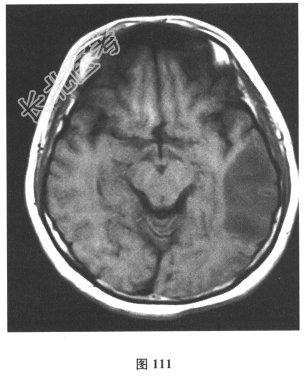
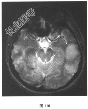
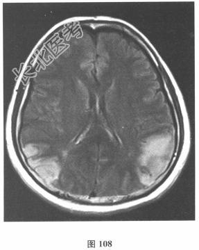
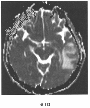
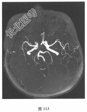
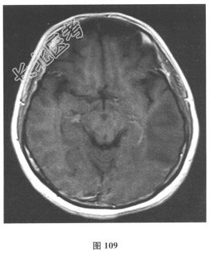
- 简答题2、脑脊液检查:常规、生化均正常,CSF-病毒TORCH(-),抗Hu、Yo、Ri均阴性,OB、MBP正常。血清抗Hu、Yo、Ri均阴性。颅脑MRI显示左颞枕、右顶枕多发长T₁、长T₂信号,Flair高信号,病变累及皮质及皮质下白质,病灶无强化,见图108~图114。根据颅脑MRI,需要鉴别的疾病应是

关注下方微信公众号,搜题查看答案

- 简答题3、患者平静状态下血乳酸未见堆积现象,小于2mmol/L,活动15min后血乳酸未见异常增高(应与平静状态下差值大于4mmol/L)。HE病理染色病理肌红纤维明显病变。因此考虑患者可能性最大的疾病是
关注下方微信公众号,搜题查看答案

- 简答题4、该病的EEG表现是
关注下方微信公众号,搜题查看答案

热门试题
- 1、根据上述资料,除了注意力以外你认为精
- 1、依据病史,患者最可能的诊断是2、应做
- 1、该患者应该首先考虑的诊断是2、可能的
- 1、从临床角度初步判断此病例诊断可能为2
- 1、患者意识淡漠、嗜睡最可能的原因应为2
- 1、该患者最可能的诊断是2、该病的EEG
- 1、此患者初步诊断须考虑2、为明确诊断,
- 1、此患儿最可能的诊断考虑为2、该患儿同
- 1、根据症状首先考虑2、为进一步明确诊断
- 1、初步诊断为2、可能的EEG表现是3、
- 1、如果临床考虑“中毒性脑病”,哪种疾病
- 1、急诊应先重点完善的检查包括2、完善头
- 1、哪点是确诊失神癫痫最主要的依据2、病
- 1、此患者最可能的诊断是2、该病的脑电图
- 1、此患者可能的病变部位为2、此患者须初
- 1、本病的诊断为2、本病常见的病因有3、
- 1、依据患者临床体征,病变累及的神经系统
- 1、患者的头痛和张口乏力、咀嚼困难是否可
- 1、本例中脑梗死与脑出血的鉴别中,最重要
- 1、以上临床资料提示患者两年来可能存在哪