试题详情
- [材料题] 女性患者,30岁。因“间断发热伴头痛、呕吐5个月”就诊。患者于5个月前无明显诱因出现发热,体温最高达39℃,头痛部位不固定,并伴有呕吐,发热时四肢肌肉疼痛,严重时不能行走,并有发作性双眼视物模糊,无抽搐。经“头孢呋辛”等抗感染药物治疗体温可下降,但头痛不完全缓解,数日后体温再升高。5年前曾诊断“蛛网膜囊肿”,未治疗。否认疫区居住史。查体:意识清楚,言语流利,双瞳孔等大正圆,直径3mm,眼底视盘水肿,眼动充分,无明显眼震,面纹对称,伸舌居中;四肢肌力5级,双侧深浅感觉未见异常,病理反射未引出;颈稍抵抗,克尼格征(-)。血常规、尿常规、粪常规、血生化均正常。腰椎穿刺:压力300mmH₂O,无色透明,潘氏试验(+),细胞320×10⁶/L,RBC 130×10⁶/L,WBC 190×10⁶/L,单个核细胞0.7,多个核细胞0.3,TP 875mg/L,Cl 116mmol/L,Glu 2.02mmol/L;脑脊液巨细胞病毒、单纯疱疹病毒Ⅰ型、风疹病毒、弓形体、微小病毒B19、柯萨奇病毒B型抗体均阴性。血巨细胞病毒、单纯疱疹病毒Ⅰ型、风疹病毒、柯萨奇病毒B型IgG抗体均阳性。血莱姆病IgG抗体(±),血弓形虫DNA低于检测下限。颅脑MRI(增强):左侧颞顶叶局部脑萎缩。
- 简答题1、此患者可能的病变部位为
关注下方微信公众号,搜题查看答案

- 简答题2、此患者须初步考虑的疾病有
关注下方微信公众号,搜题查看答案

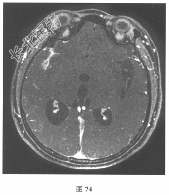
- 简答题3、患者入院后复查腰椎穿刺:脑脊液抗酸染色(-),墨汁染色(-),嗜酸性粒细胞比例增高,淋巴细胞体积较大。血及脑脊液弓形虫抗体均(-),血及脑脊液囊虫IgG抗体均(+),莱姆病抗体(-)。追问病史,曾经食用过“米猪肉”。进一步行颅脑MRI检查见图74、图75。)根据上述患者病史和检查结果,对此患者下一步治疗的药物包括

关注下方微信公众号,搜题查看答案

- 简答题4、提示脑囊虫病治愈的指征有
关注下方微信公众号,搜题查看答案

- 简答题5、该病的脑电图表现是
关注下方微信公众号,搜题查看答案

热门试题
- 1、从目前获得的病史资料,可以考虑哪些诊
- 1、最可能的癫痫类型是2、首先做哪种检查
- 1、此患者最可能的诊断是2、该病的脑电图
- 1、以上资料提示该患者可能存在哪些精神症
- 1、根据上述资料,除了注意力以外你认为精
- 1、患者可能患有的精神方面的疾病为2、继
- 1、患者初步诊断是2、结合病史,目前最有
- 1、从临床角度初步判断此病例诊断可能为2
- 1、哪些有助于了解病史2、本患者最可能的
- 1、初步诊断为2、可能的EEG表现是3、
- 1、根据症状首先考虑2、为进一步明确诊断
- 1、该患者需进行的检查包括2、该患者头颅
- 1、该患者应该首先考虑的诊断是2、可能的
- 1、有利于症状评定的量表包括2、针对于该
- 1、首先应采取的治疗措施为2、最可能的诊
- 1、急诊应先重点完善的检查包括2、完善头
- 1、该患者最可能的诊断是2、该病的EEG
- 1、可能的诊断是2、需要与之相鉴别的疾病
- 1、以上临床资料提示患者两年来可能存在哪
- 1、此患儿最可能的诊断考虑为2、该患儿同