试题详情
- [材料题] 【临床病史】男性,79岁。检查发现右肾占位性病变2周。
【专科查体】视诊:腹部无瘢痕,双肾区无隆起,耻骨上区无隆起。触诊:双肾未触及,肋脊点、肋腰点压痛阴性,季肋点、上输尿管点、中输尿管点压痛阴性,膀胱位于耻骨下,触痛阴性,压痛阴性。叩诊:左肾区叩诊阴性,右肾区叩痛阴性。听诊:双肾动脉血管杂音阴性。
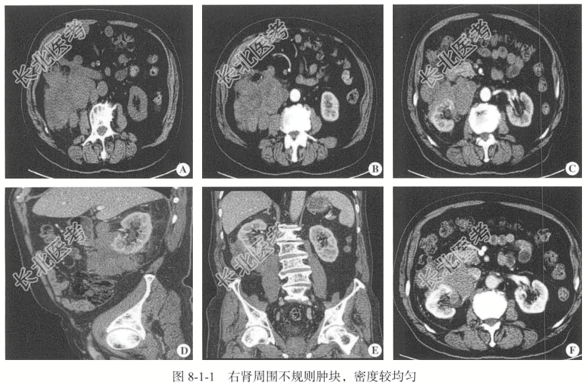
【泌尿系统CT检查】仰卧位,横断位扫描,行泌尿系统CT平扫,冠状位、矢状位及三维重建加增强扫描(GE64排CT机)。增强扫描采用高压注射器经肘静脉注射非离子型碘对比剂,总量85ml,流速3.0~3.5ml/s,于注射后30秒、70~80秒,3~5分钟行皮髓质期、实质期、排泄期增强扫描。
【影像图片】见图8-1-1。
【手术所见】麻醉生效后,患者取俯卧位,常规消毒铺巾,在B超引导下,可见肾下极多发混合回声。超声引导下对肾下极占位灶进行穿刺,取4针活检组织。
【病理所见】肉眼可见(右肾肿物)不整组织1块,大小为0.8cm×0.6cm×0.2cm,呈淡粉色,质中(图8-1-2)。免疫组化结果:Syn(-),CgA(-),CK(-),CAM5.2(-),MyoD1(-),Myonin(-),SMA(-),CD34(血管+),HmB45(-),Vim(-),Ki-67(90%+),CD10(-),EMA(-)。补1:CD99(-),WT1(-),Syn(-),CgA(-),Pax-8(+),CD20(+),CD3(-),MPO(-),CD38(-),CD138(-)。补2:Pax-5(+),CD43(-),TdT(-),CD5(-),Cyclin D1(-),Bcl-6(+),Bcl-2(弱+),C-myc(40%+),EB病毒原位杂交(-)。补3:Mum-1(-)。
【病理诊断】(右肾肿物穿刺)高侵袭性B细胞淋巴瘤,结合免疫组织化学可诊断为弥漫大B细胞肾淋巴瘤。
- 简答题1、诊断要点是什么?
关注下方微信公众号,搜题查看答案

- 简答题2、鉴别诊断是什么?
关注下方微信公众号,搜题查看答案

热门试题
- 1、诊断线索是什么?2、诊断要点是什么?
- 1、请简述该病例的诊断要点是什么?2、鉴
- 1、患者的诊断及依据是什么?2、泌尿系结
- 1、影像诊断思路是什么?2、诊断要点与鉴
- 1、鉴别诊断有哪些?2、脊柱结核有哪些影
- 1、患者CT线检查的主要影像表现是什么?
- 1、主动脉瘤的影像学表现和诊断标准有哪些
- 1、脑梗死的鉴别诊断有哪些?2、脑梗死的
- 1、该患者的诊断及依据是什么?2、其影像
- 1、诊断要点是什么?2、鉴别诊断是什么?
- 1、肺结核不同类型的影像特点有哪些?2、
- 1、诊断要点是什么?2、鉴别诊断是什么?
- 1、动脉瘤样骨囊肿的影像特征有哪些?2、
- 1、患者的诊断及依据是什么?2、鉴别诊断
- 1、患者的诊断及依据是什么?2、鉴别诊断
- 1、患者的诊断及依据是什么?2、患者的相
- 1、诊断及依据是什么?2、鉴别诊断有哪些
- 1、影像诊断思路是什么?2、鉴别诊断是什
- 1、下咽在解剖学和临床上有哪些名称?2、
- 1、患者的诊断及依据是什么?2、鉴别诊断