试题详情
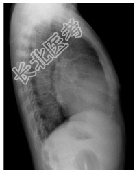
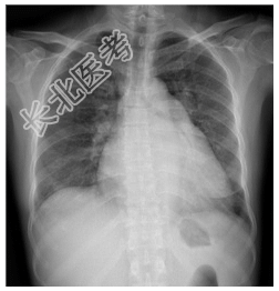
- [材料题] 患者,女性,48岁,劳累后心悸、气促2年余,加重伴呼吸困难1周。查体:患者颧部潮红,心尖区可闻及舒张期隆隆样杂音,第二心音亢进、分裂,双肺可闻及细湿啰音。心界向两侧扩大。行胸部平片检查。

- 简答题1、诊断及依据是什么?
关注下方微信公众号,搜题查看答案

- 简答题2、鉴别诊断有哪些?
关注下方微信公众号,搜题查看答案

热门试题
- 1、根据以上资料应该做哪些检查?2、患者
- 1、患者的影像诊断是什么?2、患者的诊断
- 1、患者的诊断及依据是什么?2、急性阑尾
- 1、请简述该病例的诊断要点是什么?2、鉴
- 1、诊断要点是什么?2、鉴别诊断是什么?
- 1、影像诊断思路是什么?2、诊断要点是什
- 1、诊断要点是什么?2、鉴别诊断是什么?
- 1、蛛网膜囊肿的好发部位?2、蛛网膜囊肿
- 1、诊断及依据是什么?2、鉴别诊断有哪些
- 1、请问该患者优先选择的检查是?2、[提
- 1、诊断及依据是什么?2、鉴别诊断有哪些
- 1、该患者的诊断及依据是什么?2、其影像
- 1、诊断要点是什么?2、鉴别诊断是什么?
- 1、患者的诊断及依据是什么?2、鉴别诊断
- 1、为明确血管的闭塞程度应行的检查是?2
- 1、初步拟诊为什么?2、若进一步诊断明确
- 1、应做哪些检查?2、患者所做检查如图,
- 1、脉络丛肿瘤的影像学诊断有哪些?2、脉
- 1、诊断要点是什么?2、鉴别诊断是什么?
- 1、肺转移性肿瘤的影像学典型和不典型表现