试题详情
- [材料题] 一、病史
女,61岁,常规体格检查。
二、影像学资料及分析
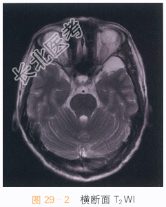
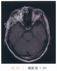
影像学资料如图29-1~图29-4所示。
读片分析:头颅横断面T₁WI、T₂WI见左侧中颅窝异常信号灶,呈长T₁WI、长T₂WI信号,边界清晰,左侧颞极受压,信号无明显异常改变;冠状面T₂WI及矢状面T₁WI亦可见左侧中颅窝长T₁WI、长T₂WI信号影,左侧颞极受压改变。结合患者病史,诊断为蛛网膜囊肿。
- 简答题1、蛛网膜囊肿的好发部位?
关注下方微信公众号,搜题查看答案

- 简答题2、蛛网膜囊肿影像学诊断有哪些?
关注下方微信公众号,搜题查看答案

- 简答题3、蛛网膜囊肿鉴别诊断有哪些?
关注下方微信公众号,搜题查看答案

热门试题
- 1、影像诊断线索是什么?2、诊断要点是什
- 1、请简述该病例的诊断要点是什么?2、鉴
- 1、CT平扫病灶出现低密度区最大可能性是
- 1、请简述该病例的诊断要点是什么?2、鉴
- 1、前列腺癌鉴别诊断有哪些?2、前列腺癌
- 1、本例最可能的诊断为?2、子宫腺肌症M
- 1、膀胱癌病理变化有哪些?2、膀胱癌的影
- 1、患者X线平片检查如图所示,请描述X线
- 1、诊断及依据是什么?2、鉴别诊断有哪些
- 1、患者的诊断及依据是什么?2、鉴别诊断
- 1、患者的诊断及依据是什么?2、患者的相
- 1、CT异常表现有哪些?2、该患者的诊断
- 1、患者的鉴别诊断有哪些?2、慢性中耳乳
- 1、胸腔积液的检查方法与选择?2、胸腔积
- 1、其主要的影像学检查方法有哪些?2、R
- 1、患者的诊断及依据是什么?2、鉴别诊断
- 1、患者的诊断及依据是什么?2、鉴别诊断
- 1、诊断及依据是什么?2、鉴别诊断有哪些
- 1、诊断要点是什么?2、鉴别诊断是什么?
- 1、诊断要点是什么?2、鉴别诊断是什么?