试题详情
- [材料题] 【临床病史】男性,51岁。右下腹疼痛1月余,超声提示右下腹肿块。
【专科查体】阴性。
【腹部CT检查】行腹盆腔平扫及双期增强扫描。扫描范围自膈顶至耻骨联合下缘。CT扫描参数:层厚5.00mm,层间距5.00mm,螺距0.984,最大管电压均为120kV,电流使用智能毫安调节,球管旋转0.8秒/圈。重建参数:以标准算法将原始图像以1.25mm层厚、1.25mm间隔重建;以3.5~4.5ml/s的流率静脉团注(剂量1.5ml/kg)非离子型对比剂,分别延迟20~25秒、45~55秒行动脉期及门静脉期扫描。
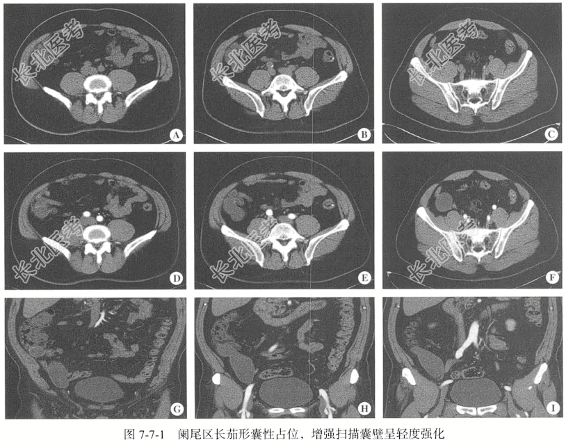
【影像图片】见图7-7-1。
【手术所见】腹腔内有约10.00ml淡黄色液体渗出,阑尾位于盲肠后位,长约6.00cm,浆膜增厚,呈慢性阑尾炎表现,阑尾周围粘连。
【病理所见】肉眼所见阑尾囊壁样组织一块,大小约为7.50cm×6.00cm×1.00cm,囊壁厚0.20~0.40cm,表面呈灰红色,内壁呈灰白色,质中,上附黏液样物,另见黏液样物一堆,大小约为3.00cm×2.00cm×1.00cm(图7-7-2)。
【病理诊断】(阑尾)形态符合低级别阑尾黏液性肿瘤,伴局灶肌层内钙化。
- 简答题1、诊断要点是什么?
关注下方微信公众号,搜题查看答案

- 简答题2、鉴别诊断是什么?
关注下方微信公众号,搜题查看答案

热门试题
- 1、胃癌的CT扫描分期有哪几期?2、胃癌
- 1、患者的诊断及依据是什么?2、鉴别诊断
- 1、请描述眼眶海绵状血管瘤的影像诊断有哪
- 1、患者的诊断及依据是什么?2、鉴别诊断
- 1、纵隔淋巴瘤的典型影像学有哪些表现?2
- 1、该患者的诊断及依据是什么?2、高级别
- 1、请简述该病例的诊断要点是什么?2、鉴
- 1、请简述该病例的诊断要点是什么?2、鉴
- 1、患者的诊断及依据是什么?2、鉴别诊断
- 1、支气管扩张的鉴别诊断有哪些?2、支气
- 1、根据上述患者的临床表现及CT所示,可
- 1、请简述该病例的诊断要点是什么?2、鉴
- 1、患者诊断要点是什么?2、病毒性脑炎鉴
- 1、患者的诊断及依据是什么?2、鉴别诊断
- 1、患者的诊断要点有哪些?2、甲状腺腺瘤
- 1、影像诊断思路是什么?2、诊断要点与鉴
- 1、患者的诊断及依据是什么?2、患者的相
- 1、颈静脉球瘤的CT特征有什么?2、颈静
- 1、简述相关处理方案及基本原则。2、食管
- 1、DSA检查需要进行造影的血管是?2、