试题详情
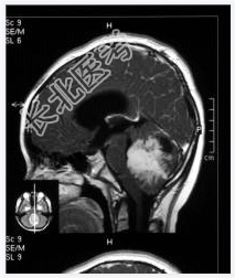
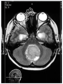
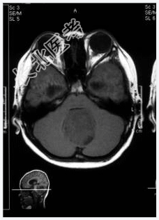
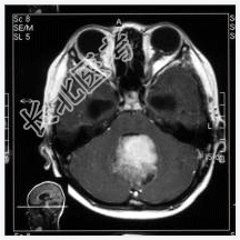
- [材料题] 患者,男性,10岁,因头晕、头疼伴呕吐1月,加重2天入院。做头颅MRI检查。

- 简答题1、诊断及依据是什么?
关注下方微信公众号,搜题查看答案

- 简答题2、鉴别诊断有哪些?
关注下方微信公众号,搜题查看答案

热门试题
- 1、什么是嗜酸性肉芽肿?2、影像表现有什
- 1、影像诊断思路是什么?2、诊断要点与鉴
- 1、请对图中所见进行描述?2、根据上图,
- 1、影像诊断思路是什么?2、诊断要点是什
- 1、影像诊断思路是什么?2、诊断要点与鉴
- 1、患者的诊断及依据是什么?2、鉴别诊断
- 1、患者的诊断及依据是什么?2、相关的鉴
- 1、该患者MRI检查有何异常改变?2、患
- 1、诊断及依据是什么?2、鉴别诊断有什么
- 1、患者的诊断及依据是什么?2、脉络膜裂
- 1、根据髋关节CT和MR影像,你认为此病
- 1、诊断要点是什么?2、鉴别诊断是什么?
- 1、本病最可能诊断为?2、本病常见症状和
- 1、诊断及依据是什么?2、鉴别诊断有哪些
- 1、请简述该病例的诊断要点是什么?2、鉴
- 1、患者的诊断及依据是什么?2、鉴别诊断
- 1、简述头颅X线摄影的基本原理及其在头颅
- 1、该病例临床拟诊为?2、慢性中耳乳突炎
- 1、请对该病例进行分析,提出可能的诊断及
- 1、患者的诊断及依据是什么?2、鉴别诊断