试题详情
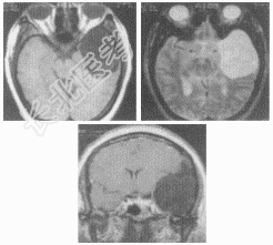
- [材料题] 女性,55岁,鼻塞、头痛1周,无任何阳性体征。
- 简答题1、根据上述资料,应该做哪些检查?
关注下方微信公众号,搜题查看答案

- 简答题2、患者行MRI检查图像如下:首先考虑患者的诊断及依据是什么?

关注下方微信公众号,搜题查看答案

- 简答题3、应该与哪些疾病鉴别?
关注下方微信公众号,搜题查看答案

- 简答题4、MRI与CT相比,MRI显示本病的优势为?
关注下方微信公众号,搜题查看答案

热门试题
- 1、患者的诊断及依据是什么?2、鉴别诊断
- 1、患者的诊断及依据是什么?2、需要与哪
- 1、患者的诊断要点有哪些?2、甲状腺腺瘤
- 1、患者的诊断及依据是什么?2、鉴别诊断
- 1、读片思路是什么?2、诊断要点是什么?
- 1、简述患者的处理方案及基本原则。2、消
- 1、肺结核不同类型的影像特点有哪些?2、
- 1、患者的诊断及依据是什么?2、胃肠道间
- 1、请简述该病例的诊断要点是什么?2、鉴
- 1、DSA检查需要进行造影的血管是?2、
- 1、请简述该病例的诊断要点是什么?2、鉴
- 1、诊断要点是什么?2、鉴别诊断是什么?
- 1、该患者的诊断及依据是什么?2、其鉴别
- 1、请简述该病例的诊断要点是什么?2、鉴
- 1、请简述该病例的诊断要点是什么?2、鉴
- 1、该患者的诊断及依据是什么?2、影像学
- 1、其主要的影像学检查方法有哪些?2、R
- 1、下咽在解剖学和临床上有哪些名称?2、
- 1、患者的诊断及依据是什么?2、鉴别诊断
- 1、患者的诊断及依据是什么?2、泌尿系结