试题详情
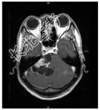
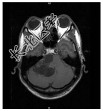
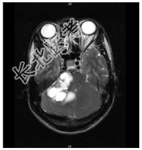
- [材料题] 患者男,37岁,右耳听力丧失数月。查体:右耳听力丧失,视力正常,余神经体征阴性。行头颅MR平扫及增强检查。

- 简答题1、患者的诊断及依据是什么?
关注下方微信公众号,搜题查看答案

- 简答题2、鉴别诊断有哪些?
关注下方微信公众号,搜题查看答案

热门试题
- 1、患者的诊断及依据是什么?2、患者的相
- 1、室管膜瘤的影像学诊断有哪些?2、室管
- 1、请问该病例诊断是什么?2、请问胃小弯
- 1、简述畸胎瘤的检查方法与选择。2、典型
- 1、患者的诊断及依据是什么?2、患者的相
- 1、患者X线检查的主要影像表现是什么?2
- 1、患者的鉴别诊断有哪些?2、类风湿关节
- 1、X线异常影像表现有哪些?2、该患者诊
- 1、患者的诊断及依据是什么?2、鉴别诊断
- 1、请简述该病例的诊断要点是什么?2、鉴
- 1、诊断及依据是什么?2、鉴别诊断有哪些
- 1、诊断要点是什么?2、鉴别诊断是什么?
- 1、根据髋关节CT和MR影像,你认为此病
- 1、骨肉瘤的鉴别诊断有哪些?2、患者的检
- 1、根据上述患者的临床表现及CT所示,可
- 1、请简述该病例的诊断要点是什么?2、鉴
- 1、骨瘤的影像特征,以及它的分类有哪些?
- 1、影像诊断思路是什么?2、诊断要点是什
- 1、诊断及依据是什么?2、鉴别诊断有哪些
- 1、患者CT线检查的主要影像表现是什么?