试题详情
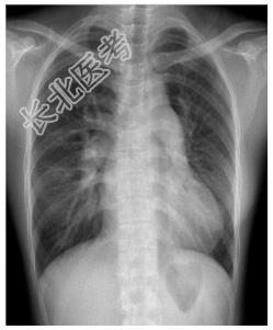
- [材料题] 患者,女性,25岁,发现心脏杂音24年,伴活动后气促1年余。查体.左侧第二肋间喷射性杂音,第二心音亢进,固定分裂。行胸部平片检查。

- 简答题1、诊断及依据是什么?
关注下方微信公众号,搜题查看答案

- 简答题2、鉴别诊断有哪些?
关注下方微信公众号,搜题查看答案

热门试题
- 1、该患者诊断为?其影像表现有哪些?2、
- 1、患者的诊断及依据是什么?2、鉴别诊断
- 1、患者的诊断及依据是什么?2、鉴别诊断
- 1、诊断要点是什么?2、鉴别诊断是什么?
- 1、动静脉畸形的鉴别诊断有哪些?2、脑动
- 1、腹腔动脉造影可显示的血管有?2、除了
- 1、信号由180°射频脉冲产生的是什么?
- 1、诊断及依据是什么?2、鉴别诊断有哪些
- 1、请简述该病例的诊断要点是什么?2、鉴
- 1、该患者可能诊断为什么?2、入院后影像
- 1、请简述该病例的诊断要点是什么?2、鉴
- 1、患者的诊断及诊断依据是什么?2、肺脓
- 1、患者的诊断及依据是什么?2、胃肠道间
- 1、诊断线索是什么?2、读片思路是什么?
- 1、患者的诊断及依据是什么?2、鉴别诊断
- 1、患者X线检查的主要影像表现是什么?2
- 1、患者的诊断及依据是什么?2、鉴别诊断
- 1、患者的诊断及依据是什么?2、鉴别诊断
- 1、诊断要点是什么?2、鉴别诊断是什么?
- 1、患者的诊断及依据是什么?2、鉴别诊断