试题详情
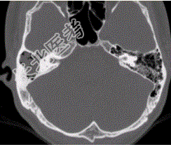
- [材料题] 患者男,25岁,右耳流脓液、听力下降5年。查体:右侧鼓膜穿孔,传导性耳聋,CT检查如下图。

- 简答题1、请问该患者临床拟诊断为什么病?
关注下方微信公众号,搜题查看答案

- 简答题2、请问慢性中耳炎引起颅内感染,累及多为哪个部位?
关注下方微信公众号,搜题查看答案

- 简答题3、请问慢性中耳乳突炎的并发症有哪些?
关注下方微信公众号,搜题查看答案

- 简答题4、请描述一下慢性中耳炎与胆脂瘤的关系。
关注下方微信公众号,搜题查看答案

- 简答题5、请问胆脂瘤型中耳乳突炎多发于哪种乳突?
关注下方微信公众号,搜题查看答案

热门试题
- 1、最可能的诊断是?2、为什么患者会有长
- 1、请问诊断是什么?2、诊断依据是什么?
- 1、影像诊断思路是什么?2、诊断要点与鉴
- 1、该病最可能的诊断是?2、类风湿关节炎
- 1、影像诊断思路是什么?2、诊断要点与鉴
- 1、为了明确病情,请问患者应优先选择哪些
- 1、影像诊断思路是什么?2、诊断要点与鉴
- 1、首先要考虑的疾病是?2、子宫肌瘤的病
- 1、请问该患儿诊断是什么?2、请问诊断依
- 1、请问患者入院后可以选择的哪些相关影像
- 1、影像诊断思路是什么?2、诊断要点与鉴
- 1、请问该案例诊断是什么?2、请问诊断依
- 1、该患者的诊断是什么?2、诊断依据有哪
- 1、请问该患者入院后首先要做哪项常规检查
- 1、请问诊断是什么?2、诊断依据是什么?
- 1、请问该患者诊断应该是什么?2、请问该
- 1、请问该病例影像学首先应做哪些检查?2
- 1、结直肠癌临床特点是什么?2、如何有效
- 1、请问该患者的影像诊断是什么?2、请问
- 1、为了明确诊断,请问需要做哪些检查?2