试题详情
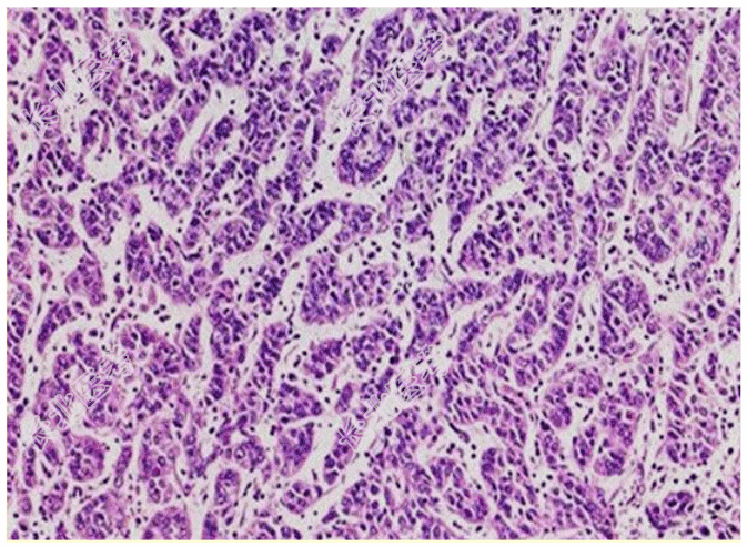
- [材料题] 患者女,63岁,胃体部发现一个直径约1.5 cm的肿块,呈息肉状生长,表面黏膜大多光滑,局部见浅表溃疡形成。切面见肿块呈灰白、灰黄色,位于黏膜下,界限尚清。光镜下组织形态如图所示。临床诊断为神经内分泌肿瘤。

- 简答题1、该疾病有几种不同类型?
关注下方微信公众号,搜题查看答案

- 简答题2、该疾病发生于哪些部位?
关注下方微信公众号,搜题查看答案

- 简答题3、该疾病不同类型可有哪些肉眼改变?
关注下方微信公众号,搜题查看答案

热门试题
- 1、肝硬化主要病因是?2、根据大体形态学
- 1、该患者最有可能患有?2、该疾病免疫组
- 1、该疾病的病因和发病机制是?2、该疾病
- 1、该疾病的病因和临床特点表现为?2、该
- 1、本病多见于?2、该疾病肉眼改变表现为
- 1、该疾病好发于哪个年龄段?2、该疾病可
- 1、最有可能的诊断是?2、该疾病的病因为
- 1、该疾病镜下改变表现为?2、该疾病免疫
- 1、该患儿最可能诊断为?2、该疾病镜下表
- 1、该疾病肉眼改变表现为?2、该疾病镜下
- 1、该疾病有几种不同类型?2、该疾病发生
- 1、最可能的疾病是?2、该疾病的肉眼改变
- 1、该疾病组织学分级标准为?2、该疾病免
- 1、急性排斥反应诊断的经典三联征为?2、
- 1、该疾病病理分型分为?2、各型均有共同
- 1、免疫组织化学角蛋白、EMA、钙视网膜
- 1、此病理通道是?2、该疾病的病理改变是
- 1、该疾病的病因和临床特点表现为?2、该
- 1、该疾病的镜下改变表现为?2、该疾病免
- 1、该疾病镜下改变表现为?2、该疾病特殊