试题详情
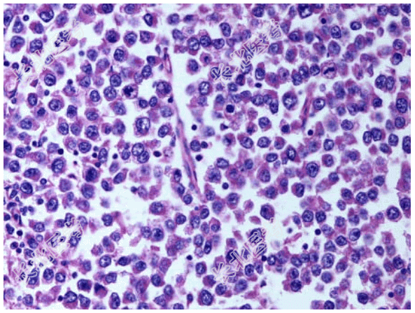
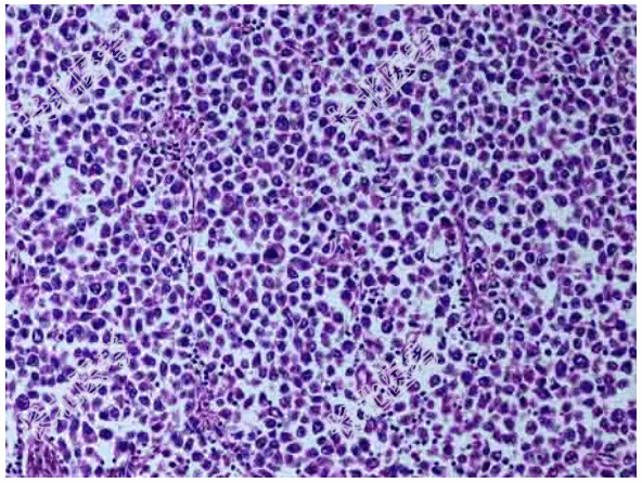
- [材料题] 患者男,56岁,发现睾丸肿大半年。行睾丸切除,大体见肿瘤几乎占整个睾丸,切面灰黄,鱼肉状。镜检如图所示。

- 简答题1、该患者最有可能患有?
关注下方微信公众号,搜题查看答案

- 简答题2、该疾病免疫组织化学表达?
关注下方微信公众号,搜题查看答案

热门试题
- 1、根据上述,可能的诊断是?2、该患者既
- 1、该疾病的病因是?2、该病属于大叶肺炎
- 1、最有可能的诊断是?2、该疾病好发于?
- 1、该疾病光镜检查表现为?2、该疾病需与
- 1、最可能的诊断是?2、该疾病需与哪些疾
- 1、最应该考虑的诊断是?2、该疾病按化生
- 1、该疾病的病因包括?2、该疾病的肉眼改
- 1、该疾病肉眼改变表现为?2、该疾病镜下
- 1、患者的疾病诊断最可能是?2、该疾病主
- 1、该病的病理改变表现为?2、该病的镜下
- 1、该患者可能的诊断为?2、该疾病好发年
- 1、此病变应诊为?2、该疾病的临床特点是
- 1、应诊断为?2、该疾病的病因包括?3、
- 1、该疾病的临床特点为?2、该疾病有哪些
- 1、正确的诊断是?2、可能在本病中查出的
- 1、血吸虫病的病因包括?2、该疾病病理学
- 1、该疾病多发于?2、该疾病的并发症有哪
- 1、该疾病镜下改变表现为?2、该疾病免疫
- 1、最可能的诊断为?2、该肿瘤的性质为?
- 1、临床诊断为?2、该疾病的感染途径主要