试题详情
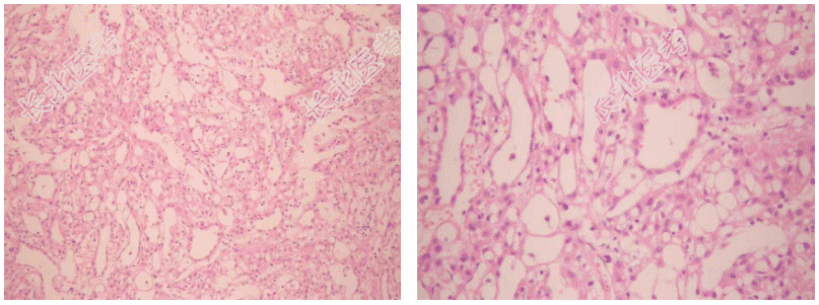
- [材料题] 患者女性,32岁。右输卵管近子宫壁浆膜下肿物,边界清,直径2.5cm。切面淡红色。镜下组织学特征如图。临床诊断腺瘤样瘤。

- 简答题1、该疾病镜下改变表现为?
关注下方微信公众号,搜题查看答案

- 简答题2、该疾病免疫组化表达?
关注下方微信公众号,搜题查看答案

- 简答题3、该疾病需与哪些疾病进行鉴别诊断?
关注下方微信公众号,搜题查看答案

热门试题
- 1、正确的诊断是?2、可能在本病中查出的
- 1、胆石症的病因和临床特点表现为?2、胆
- 1、此病变应诊为?2、该疾病的临床特点是
- 1、该疾病好发于哪个年龄段?2、该疾病可
- 1、该疾病镜下改变表现为?2、该疾病特殊
- 1、该疾病按病因、发病部位及临床表现等分
- 1、该疾病多见于?2、该疾病肉眼改变表现
- 1、该疾病肉眼改变表现为?2、该疾病镜下
- 1、该病的病理改变表现为?2、该病的镜下
- 1、该疾病光镜检查表现为?2、该疾病电镜
- 1、该疾病多发于?2、该疾病的并发症有哪
- 1、该疾病免疫组化表达?2、该疾病需与哪
- 1、最可能的诊断为?2、该疾病可以有几种
- 1、该患者最可能的诊断是什么?2、该疾病
- 1、该疾病的病因和发病机制是?2、该疾病
- 1、该疾病的免疫组化表现为?2、该疾病分
- 1、该疾病组织学分级标准为?2、该疾病免
- 1、该疾病的病因包括?2、该疾病的病理改
- 1、该疾病常见的转移部位包括?2、该疾病
- 1、光镜下大部分区域形态如左图所示,局部