试题详情
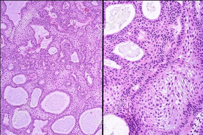
- [材料题] 患者男性,18岁,因颅内肿瘤手术,术中见肿瘤位于蝶鞍上部,球形,有包膜,直径3cm。术后巨检肿块囊实性,囊内充满淡黄色液体,实性区灰白色,质硬,镜检如图,临床诊断为颅咽管瘤。

- 简答题1、该疾病病理特点表现为?
关注下方微信公众号,搜题查看答案

- 简答题2、该疾病的免疫组化表达?
关注下方微信公众号,搜题查看答案

- 简答题3、该疾病需与哪些疾病进行鉴别诊断?
关注下方微信公众号,搜题查看答案

热门试题
- 1、该疾病光镜检查表现为?2、该疾病电镜
- 1、该疾病好发部位为?2、根据其病变累及
- 1、该疾病常见于?2、该疾病肉眼改变表现
- 1、该疾病病因包括?2、该疾病肉眼改变表
- 1、早期胃癌分为?最多见的是?2、表浅型
- 1、诊断考虑为?2、该病的发病机制是?3
- 1、该疾病的病因有?2、该疾病可有哪些肉
- 1、该疾病的临床特点是?2、该疾病的病理
- 1、该疾病的临床特点为?2、该疾病有哪些
- 1、该疾病镜下改变表现为?2、该疾病免疫
- 1、肝硬化主要病因是?2、根据大体形态学
- 1、巨检甲状腺组织不整形,切面呈多结节状
- 1、最应该考虑的诊断是?2、该疾病按化生
- 1、该疾病的病因有?2、该疾病的肉眼改变
- 1、该疾病好发于哪个年龄段?2、该疾病好
- 1、最可能的疾病是?2、该疾病的肉眼改变
- 1、该患者首先考虑?2、该疾病镜下改变表
- 1、该疾病的病因包括?2、该疾病肉眼改变
- 1、患者的疾病诊断最可能是?2、该疾病主
- 1、该疾病类型属于?2、该疾病多发于?