试题详情
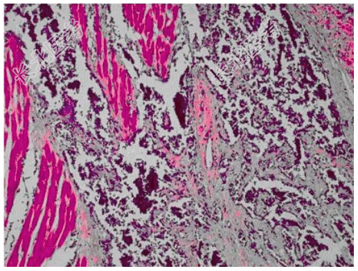
- [材料题] 患者男,18岁,会阴肿块,影像学表现如图所示。行穿刺活检,镜下形态如图所示。

- 简答题1、首先考虑的诊断是?
关注下方微信公众号,搜题查看答案

- 简答题2、该肿瘤的染色体异常表现为?
关注下方微信公众号,搜题查看答案

- 简答题3、该肿瘤好发于?
关注下方微信公众号,搜题查看答案

热门试题
- 1、该疾病病因包括?2、该疾病肉眼改变表
- 1、该疾病好发部位为?2、根据其病变累及
- 1、该疾病的病因包括?2、该疾病侵及脑膜
- 1、发病部位最常见于?2、该疾病的肉眼改
- 1、早期发现前列腺癌的最佳方法是?2、该
- 1、应首先考虑的是?2、该疾病需与哪些疾
- 1、最可能的诊断是?2、该疾病需与哪些疾
- 1、该疾病多发于?2、该疾病免疫组化表达
- 1、该疾病免疫表型表达?2、该疾病需与哪
- 1、该疾病病因包括?2、该疾病多发于?3
- 1、该疾病的病因包括?2、该疾病的肉眼改
- 1、该疾病的病理分型包括?2、该肿瘤向周
- 1、该疾病的镜下改变表现为?2、该疾病免
- 1、该疾病的病因有?2、该疾病可有哪些肉
- 1、最先怀疑的疾病是?2、该疾病的病因包
- 1、该疾病可有哪些镜下改变?2、该疾病可
- 1、传统上我国学者一般将食管鳞状细胞癌分
- 1、该疾病病理分型分为?2、各型均有共同
- 1、该疾病好发于哪个年龄段?2、该疾病可
- 1、该疾病的主要危险因素是?2、动脉粥样