试题详情
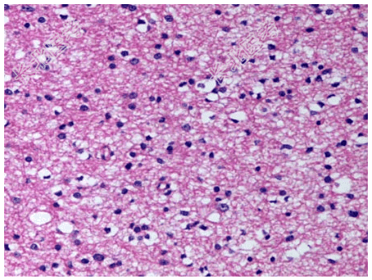
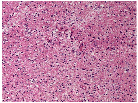
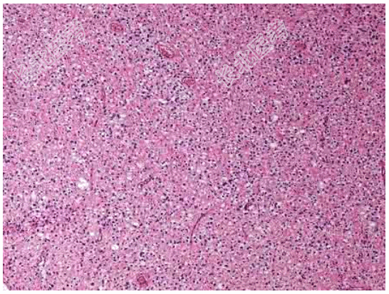
- [材料题] 患者男性,40岁,头痛、头晕3个月,加重1周。CT示左侧额叶一占位性病变,周围水肿轻微,占位效应明显,增强扫描后病灶无明显强化,考虑左侧额叶肿瘤。术后送检。镜检如图所示:瘤细胞胞浆空泡状,核圆形居中,弥漫分布,似“棋盘格”状。部分区间质出血及钙化灶。临床考虑诊断为左额叶少突胶质细胞瘤。

- 简答题1、该疾病好发于?
关注下方微信公众号,搜题查看答案

- 简答题2、该疾病病理特点表现为?
关注下方微信公众号,搜题查看答案

- 简答题3、该疾病免疫组化表现为?
关注下方微信公众号,搜题查看答案

热门试题
- 1、该疾病的病因包括?2、该疾病的肉眼改
- 1、该疾病的病因和发病机制是?2、该疾病
- 1、其病理诊断为?2、该疾病好发于?3、
- 1、镜检如图所示黏膜内大量炎细胞浸润,以
- 1、最应该考虑的诊断是?2、该疾病按化生
- 1、该患者最可能的诊断是什么?2、该疾病
- 1、于肿瘤处及其与周围交界处多点和多切面
- 1、该疾病可发生于?2、该疾病肉眼改变表
- 1、纤支镜取活检镜下如图所示,该患者正确
- 1、该疾病光镜检查表现为?2、该疾病电镜
- 1、该疾病光镜检查表现为?2、该疾病需与
- 1、该疾病常见于?2、该疾病根据瘤细胞核
- 1、手术切除标本光镜观察如下图,最可能的
- 1、最可能的诊断为?2、该疾病镜下改变表
- 1、该疾病类型属于?2、该疾病多发于?
- 1、该疾病多发于?2、该疾病的并发症有哪
- 1、最可能的诊断是?2、该病的疾病类型属
- 1、根据上述描述,首先考虑的病理诊断是?
- 1、该疾病的临床特点为?2、该疾病有哪些
- 1、该疾病肉眼改变表现为?2、该疾病镜下