试题详情
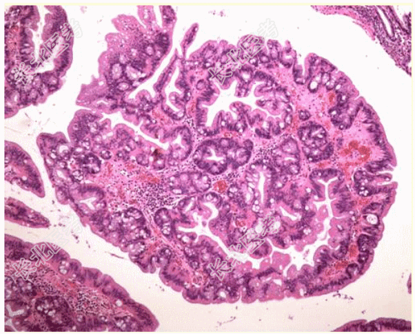
- [材料题] 患者男,79岁,肠镜发现1.2 cm×1.2 cm乙状结肠息肉,镜下图像如图所示。病理诊断为传统锯齿状腺瘤。

- 简答题1、该疾病多数发生于?
关注下方微信公众号,搜题查看答案

- 简答题2、该疾病肉眼与镜下表现为?
关注下方微信公众号,搜题查看答案

- 简答题3、该疾病涉及哪些基因突变?
关注下方微信公众号,搜题查看答案

热门试题
- 1、首先考虑的诊断是?2、该肿瘤的染色体
- 1、最可能的诊断是?2、该疾病的免疫组化
- 1、该疾病病因包括?2、该疾病肉眼改变表
- 1、于肿瘤处及其与周围交界处多点和多切面
- 1、该疾病的病理改变为?2、该疾病的典型
- 1、唇部发生哪些肿瘤的可能性较大,并可伴
- 1、该疾病的大体改变表现为?2、该疾病的
- 1、该疾病考虑诊断为?2、该疾病镜下改变
- 1、该疾病按病因、发病部位及临床表现等分
- 1、该疾病病理学表现为?2、该疾病病免疫
- 1、该患者最有可能患有?2、该疾病免疫组
- 1、该疾病多发于?2、该疾病免疫组化表达
- 1、此病变应诊为?2、该疾病的临床特点是
- 1、发病部位最常见于?2、该疾病的肉眼改
- 1、最可能的疾病是?2、该疾病的病因是?
- 1、该患儿最可能诊断为?2、该疾病镜下表
- 1、该疾病的病理分型包括?2、该肿瘤向周
- 1、早期发现前列腺癌的最佳方法是?2、该
- 1、胆石症的病因和临床特点表现为?2、胆
- 1、该疾病病因和发病机制主要包括?2、光